(2025 UPDATE) Help Us Get Our Cat Life-Saving Surgery

  • K
  • C
51 donors
0% complete

$2,045 raised of $2.5K

(2025 UPDATE) Help Us Get Our Cat Life-Saving Surgery

Donation protected
UPDATE 10/18/2025 - Please read the latest update! $1730 in donations are from two years ago during his first surgery. All donations after $1730 are going towards his new surgery!

Original:
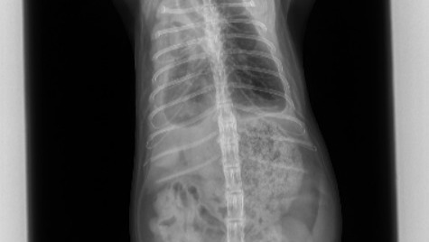
A few weeks ago, our 1-year-old cat Scaramouche began breathing abnormally. My husband and I took him to the vet immediately. After an exam and some radiographs, they found fluid in his lungs and in his chest cavity. This was completely out of left field - he's a young, healthy indoor cat who has never experienced anything like this, and suddenly he has pneumonia.

After getting him on some antibiotics and various other medications, he recovered from the pneumonia, but we had a new problem. The fluid in his chest was still present, and it was continuing to accumulate from an unknown source. Our vet has never seen anything quite like it. We sent a fluid sample to a lab, but the results were inconclusive. We tested for FIP (feline infectious peritonitis) but he tested negative. Our vet reached out to various other medical professionals for answers, but no one seems to know what's happening to Scaramouche.

  • A vague mass appears to be just before the heart and not within the lung regions. Our vet believes this may be mediastinal lymphoma or thymoma, both of which are thymus cancers.

For weeks now, my husband and I have been taking Scaramouche to the vet weekly for radiographs, and to drain as much fluid from his chest as possible so he can breathe.

At this point, we aren't left with many options. We've burned through our CareCredit and hundreds of dollars out of pocket to keep up with the constant fluid removals, x-rays, tests and medications up until this point.

Our Best Shot

In order to understand what's happening to Scaramouche, we will need to take him out of state to a university to get an MRI. Once they have a more complete scan, the next step would be surgery, or chemotherapy if surgery is not an option. My husband and I are more than willing to do this, but we need help.

We don't want to give up on Scaramouche. He just had his first birthday about a week before this all began - he deserves to have a happy, long life. He's the sweetest, most cuddly cat we've ever had. He loves his kitty and puppy sisters, and he has such a huge personality. He's such a loving, funny little guy. We love him so, so much, and we are not ready to say goodbye to him so soon.

All donations will go towards Scaramouche's various vet bills, the MRI scan, and the resulting surgery or treatment. Thank you for taking the time to read this.



Organizer

Jesse Rowden
Organizer
Omaha, NE
  • Animals
  • Donation protected

Your easy, powerful, and trusted home for help

  • Easy

    Donate quickly and easily

  • Powerful

    Send help right to the people and causes you care about

  • Trusted

    Your donation is protected by the GoFundMe Giving Guarantee