- S
- K

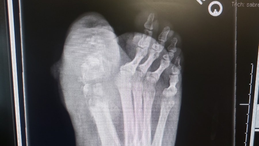
Hello everyone! My name Is Troy Jones, many of you affectionately know me as T-Bone. I recently had to check into Kaiser with a Foot infection that resulted in Osteomyelitis. It is a very dangerous inflammation and swelling of bone tissue that literally causes bone tissue to disintegrate inside your body. I stayed in the hospital for about a week and had 2 surgeries to remove what was left of my big toe on my right foot and the top of the bone right below the toe. The surgeons also had to remove much of the infection and other affect areas inside my foot and then sealed it back up with staples and stitches. Then they had to attack Osteomyelitis with a strong regiment of antibiotics. After my stay at Kaiser, I was sent home with a hard cast around my foot and told to no place and weight on it. I also had a PICC line installed in my upper right arm that goes directly to my heart that Intravenously sends antibiotics from a portable pump and I.V. bag to my PICC line. I must carry the I.V. and pump on me in a shoulder strapping bag, 24 hours a day, everyday, for up to 12 weeks if necessary. Since this whole incident began, I haven't been able to work at all doing what I love, Interpreting Sign Language for the Deaf and Hard of Hearing. This is my primary career and source of income. I have recently returned to running Karaoke at nights, but the income from that gig is limited. I am still disabled with restricted mobility, relying on a knee scooter to get around in order to keep weight bearing pressure off my casted foot.
I'm reluctant to create this GoFundMe page and ask for your help because normally I would find other ways to generate revenue I need in the form of shows or other fundraisers. I may plan on doing those as well if need be. The fact is, the bills are piling up and my funds are about to run out. My insurance covered a reasonable amount of the total bill from Kaiser, however, I still own a considerable amount and my other bills are piling up as well. I also have increasing costs due to continued treatment of medication and antibiotics until the doctors feels I no longer need them, and the infection has no risk of returning. Any donations you can give are appreciated and any sharing of this GoFundMe is appreciated as well. I will find someway to return the love given to me during this challenging period of my life.
Once again, this is difficult for me to ask for your charity, but at this time any help in resolving this bump in the road I'm facing will be most cherished and appreciated. If there's anything in the future I can do to help you in giving back with a favor or a task, I look forward to the opportunity.
Thank you, and I love you all!
-Troy 'T-Bone' Jones

