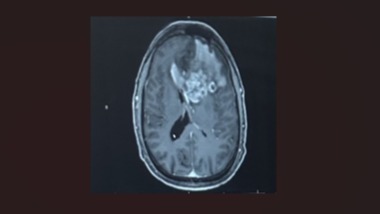
On Saturday, February 28th, our dad, Trevis Bassett, was taken to Jersey Shore Hospital with stroke-like symptoms. The hospital did a CAT scan and discovered a large left frontal lobe mass. He was then taken by ambulance to Geisinger in Danville. Geisinger did an MRI and found a large left frontal lobe tumor that extends over to the right frontal lobe. The doctors diagnosed the 3.9 by 4.8 by 4.4cm tumor as stage 4 glioblastoma, a highly aggressive brain cancer. Glioblastoma is always stage 4 and is diagnosed in 14,500 Americans a year. More than 10,000 Americans die from this every year, meaning 1 out of 3 survive. The average survival rate is 12-15 months with surgery and treatment. On March 3rd, he had a 5-hour long surgery to remove as much of the mass as they could. He came home March 5th, to heal, before starting chemotherapy and radiation. Unfortunately, our father will be unable to work during this time. He runs his own business, alongside our mom, who is taking care of him during this time. Anyone who knows our dad knows he's a hardworking family man. He goes above and beyond for his children, his grandkids, his wife, and his clients. We are reaching out to our community for help. If you are able or unable to donate, please consider sharing this post. Our family appreciates every donation, share, thoughts, and prayers that you give. We want our dad to be that 1 out of 3. Please help us help him fight for his life.




