Hi, my name is Tameika, and I’m reaching out with deep vulnerability to ask for a little help. I always thought in my head I’d never ever ask for money or help ever in my life but we just can’t afford all the extra treatments at this point in life with 2 kids a mortgage and never ending bills it’s hard to try to stay afloat also while I am not working at the moment.
In January 2025, I was diagnosed with papillary thyroid cancer — a form of cancer that can spread to the lymph nodes and beyond. In April 2 days before my 30th, I underwent a total thyroidectomy and left neck dissection, where 34 lymph nodes were removed, and 12 tested positive for cancer. We originally thought it was only in the left lobe but it ended up being spread throughout both sides of the whole thyroid too.
Shortly after, I received the devastating news that I have not just papillary thyroid cancer — but a rare and aggressive variant called Diffuse Sclerosing Variant Papillary Thyroid Carcinoma (DSVPTC) Extensive lymphovascular
invasion identified ( the cancer has spread significantly into my small blood vessels and lymph node vessels in multiple spots)
making it very high risk and likely to have recurrence
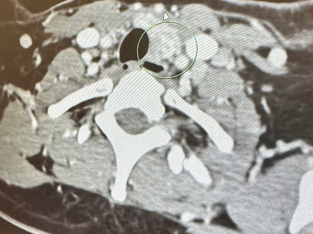
In June, I underwent Radioactive Iodine Therapy (RAI), but follow-up scans revealed two remaining lymph nodes — one behind my left collarbone and one in my chest (mediastinum) — that are still cancer-positive. These will need to be monitored closely moving forward.
Since then, I’ve been doing everything I can to support my healing — physically, emotionally, and spiritually — all while being a full-time mum to my two beautiful young children.
To strengthen my immune system and target any lingering cancer cells, my integrative medicine doctor has recommended high-dose Vitamin C infusions (60g weekly) to:
• Reduce inflammation
• Act as a pro-oxidant to help kill cancer cells
• Support my recovery from surgery and radiation
Unfortunately, these treatments are not covered by Medicare, and each infusion costs $316 per week.
There are discounts available if I can pay for multiple sessions in advance (6 or 12 at a time), but it’s still a huge financial strain.
6 weeks =$17.06.40
12 weeks=$3033.60
and hoping to keep going onwards if I’m able to financially afford it
On top of this, I’ve been prescribed essential supplements — Vitamin D, Zinc, Berberine, and Melatonin — all of which are out-of-pocket costs. Every follow-up with my integrative doctor is $205.
Right now, our family of four is living on one income, as my partner continues to work full-time while I focus on healing and caring for our little ones. We don’t have much extended family support on either side who are financially able to assist, so we’re doing this journey mostly on own.
I want to do these natural treatments as long as I can to have hope to kill all remaining cells and try to help prevent recurrence from happening
How You Can Help
This has been the most challenging time of my life — physically, emotionally, and financially. I’m so grateful to be here and healing, but I’m also exhausted, navigating post-cancer fatigue, grief, and uncertainty while trying to stay strong for my children.
If you feel moved to support, any contribution — no matter the size — will help cover:
• Weekly high-dose Vitamin C infusions
• Vital supplements for immune support and recovery
• Ongoing integrative medical expenses not covered by the public health system
Even sharing this page with others can have a big impact.
From My Heart to Yours
I never thought I’d be in a position where I needed to ask for help. I actually wasn’t going to But I’ve learned that community and kindness are some of the most powerful healing tools we have. And I really would be so greatful to be able to do the infusions
Thank you for reading, for caring, and for standing beside me and my little family. Your support means more than words can express.
With deep gratitude,
Tameika
Organizer
Tameika Mcbride (Organizer)
Organizer
Ingle Farm, SA






