- V
Rose was diagnosed with Scoliosis when she was just six years old. Since then, she has spent most of her life needing a back brace to help manage the curvature of her spine and prevent it from worsening as she grew. Living with scoliosis hasn’t always been easy, but Rose has shown incredible strength and resilience throughout the years.
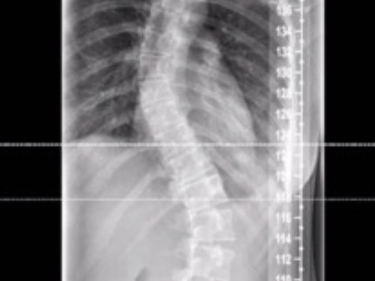
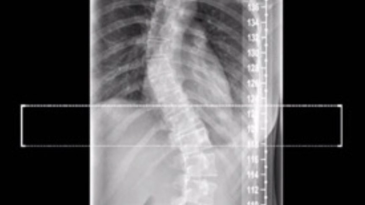
Despite all the effort with bracing, Rose’s spine has continued to curve significantly. She now has two major curves in her spine — one measuring 55 degrees and another 45 degrees in the lower part of her back. Because of this, doctors have recommended spinal fusion surgery, a major procedure designed to straighten and stabilize the spine.
In June 2026, Rose will undergo this life-changing spinal fusion surgery. During the operation, surgeons will carefully realign parts of her spine and use rods, screws, and bone grafts to fuse certain vertebrae together. This will help stop the curves from progressing and support her spine long-term.
Although the surgery will be a big challenge and recovery will take time, it also represents an important step toward a healthier and more comfortable future for Rose. After years of wearing a brace and managing scoliosis, this procedure offers the possibility of improved posture, reduced pain, and a stronger spine.
Through everything she has faced since childhood, Rose has remained incredibly brave. Her upcoming surgery is not just a medical procedure—it marks a powerful moment in her journey toward better health and a new chapter in her life.
this go fund me is not for rose as she wants it to go to the charity that has helped her throughout her whole life with this condition. the money will be donated to British scoliosis society. as they've helped rose and rose wants the same for other people like her.

