Hello, my name is Jes (she/her, they/them), and I’m reaching out for support during one of the most vulnerable and pivotal times in my life. I’m raising $50,000 to cover the cost of major dental surgery and the necessary recovery period during which I won’t be able to work. As a full-time rideshare driver with no paid time off, this is a huge hurdle for me, and I can’t do it alone.
For 14+ years, I’ve been on a personal journey of healing. I’ve worked hard to rebuild my life emotionally, mentally, and physically, including committing to sobriety and making long-term changes that have brought me peace and purpose. But there’s one major obstacle that continues to hold me back every single day: my dental health.
I’m in chronic pain. Eating, sleeping, speaking, even smiling can be a challenge. It's not just physical—this has deeply impacted my confidence, self-esteem, and ability to be fully present with myself and others. I often find myself hiding my smile or avoiding social situations, which makes it incredibly difficult to connect with people and continue growing into the person I know I’m meant to be.
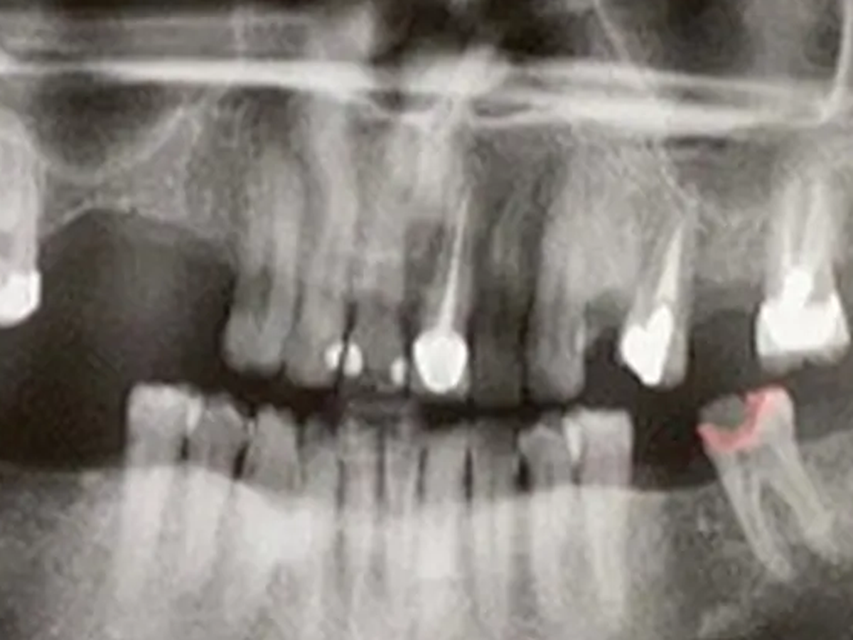
The dental work I need is extensive and medically necessary, estimated to cost between $30,000–$40,000. I’m missing almost all of my back teeth, and all my fronts have cavities. It’s almost impossible for me to eat anything at this point. I will post photos more recent of X-rays soon. The one on here is from a few years ago there’s a few more teeth missing now but you get the picture. On top of that, I will need time off to recover, which adds living expenses I can’t cover while I’m unable to work. That’s why I’m setting my goal at $50,000 to get the treatment I need and make it through the healing period without losing my footing financially.
This isn’t easy to ask, but I know how transformative this support would be. This isn’t just about teeth; it’s about my health, my future, and my ability to show up in the world fully and confidently.
Any contribution, no matter the amount, means the world to me. And if you’re not in a place to give, sharing this with others can make a big difference too. Thank you for reading, and thank you for being part of my healing journey.
With love and gratitude,
Jes


