Hello, we are The Bridges Family and we are raising money to help our daughter Cambrie get the care she needs. For the past two weeks she has been in excruciating pain and has been to a few hospitals. After her first head CT scan, the doctors described a mass on her brain.
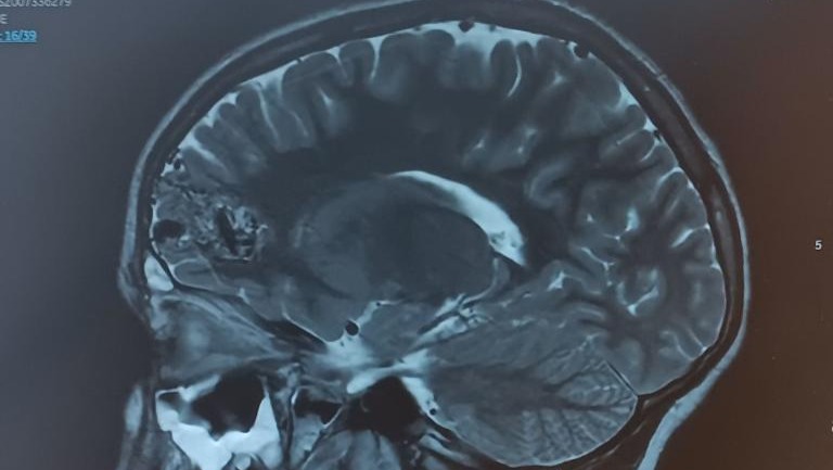
We were transported to another hospital where she received another head CT scan and the doctors explained it was serious and we needed to get an MRI. The results showed that not only does she have Chronic Sinusitis. She also has "Arteriovenous Malformation", which is an abnormal tangle of blood vessels that causes irregular connections between arteries and veins in the brain. Her blood vessels are enlarged. This could lead to rupture and her brain could bleed, it could also lead to paralysis and seizures. We are asking for support to get her back and forth to the neurosurgeon in Utah, and also help with the medical costs that come with this diagnosis. Our daughter needs treatment / surgery. Anything helps and we appreciate your support!

