- M
- T
Hi, my name is Milton Stefano Sojo. I’m 34 years old, a father, son, brother, and partner to my girlfriend. At the beginning of summer 2025, my world changed forever when I was diagnosed with a brain tumor. After undergoing brain surgery, I learned it was cancerous: Glioblastoma, IDH-wildtype, Grade 4—the most aggressive form of brain cancer. There is no known cause and, heartbreakingly, no cure.
My greatest hope is to have more time with my family, to marry the love of my life, and to one day watch my son grow and have children. This is one of the toughest battles anyone can face, but I am determined to fight with everything I have.
The median survival for Glioblastoma is only 12–18 months, with standard of care. While Glioblastoma is terminal, 5-10% of people can live beyond the average. There are immunotherapy options that are showing incredible promise. One of the most hopeful is personalized tumor vaccines, designed specifically from the tumor cells of each patient. The challenge is that these treatments are out pocket, not covered by insurance and cost between $80,000–$120,000+ each to produce and are currently available only in London and Germany.
This is more than we can manage on our own, especially as my health continues to decline. But through God and with the help of our community, through donations, prayers, and simply sharing my story, I believe it’s possible to be apart of that 5-10% of long term survivors. Every share, every dollar, every prayer matters.
My hope is to first raise enough support to pursue one or all of these options, giving me more time to be here with the people I love most.
Before my diagnosis, I worked as a web designer full time and spent 9 years serving as a volunteer Firefighter. Serving others and creating things with purpose have always been a part of who I am, and I believe God called me to live that way.
When I heard the words “terminal brain cancer” it felt like the floor dropped out from under me. Suddenly, life was divided into before the diagnosis and after. Before, I was planning a future, building dreams with the people I love. After… every day feels like a battle to hold onto the life I’ve worked so hard for.
I am not ready to stop fighting.
Your support could mean more days, more memories, and more time with the people I love.
What Your Support Will Do:
I’ve set a goal of $150,000 to help me fight back against this disease. The funds will go toward:
• Medical treatments and clinical trials — including therapies my insurance won’t cover but could give me more time, such as a personalized tumor vaccines mentioned above.
• Travel expenses — getting to and from my specialists at the Duke Brain Cancer Center or other Brain Cancer Centers in the U.S and internationally that may offer hope beyond standard of care.
• Basic living costs —my ability to think and work and even speak has slowly been taken away by this diagnosis, your support helps cover the basics like housing and utilities, so I can focus my energy on healing and spending my precious time with my loved ones.
• Supportive care — nutrition, integrative therapies, and resources that will help me maintain strength and quality of life.
• Quality of Life — allocating funds to cover needs that will increase my quality of life and alleviate stress caused by the cancer diagnosis and other life challenges.
For those who wish to join us in the fight, our first request is that you would pray. Our second request is that you would share this GoFund me far and wide. And our final request is that you give if you feel so led.
From the bottom of my heart, thank you for helping give me the gift of time.
For those who want more details, please keep reading below so I can give you a better picture of all that we’ve come through and what lies ahead.
Diagnosis
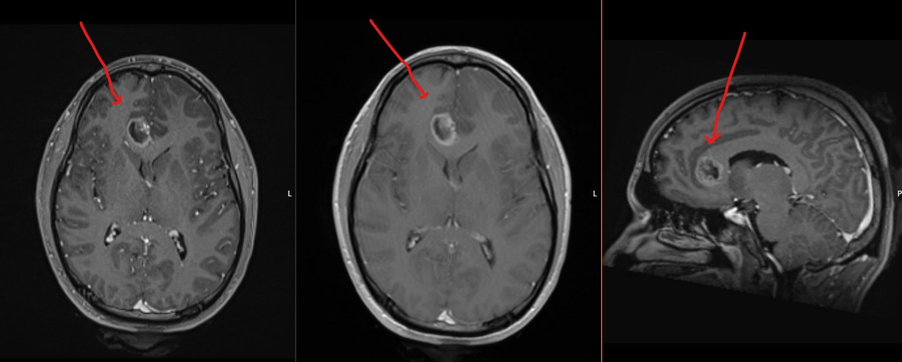
Prior to my diagnosis, I had experienced many months of relatively mild symptoms, including fatigue, and headaches. The day after Easter 2025, I had a Grand Mal Seizure where I stopped breathing and went unconscious. Emily (my girlfriend) called 911 and I was transported to the ER. Epilepsy was suspected, as that was what my late father was diagnosed with. Unfortunately an MRI was not able to be done until June which would then reveal a brain tumor as the cause of the seizure. At the time of my first MRI it was the size of a grape, in 3 weeks time it had grown twice its size leading up to the day of surgery.
On July 24, 2025, I underwent an extensive brain surgery called a “Craniotomy” by Dr. Vandergrift at MUSC in Charleston South Carolina. Dr. Vandergrift and his team successfully removed what they could see of my tumor. The tumor tissue was then sent to the lab. After waiting several weeks I received the formal diagnosis while at the Duke Brain Cancer Center in Durham North Carolina, where I am currently now being treated. They shared the news that unfortunately I have Brain Cancer, the most aggressive type and subtype of brain cancer, Glioblastoma, IDH-wildtype, Grade 4. While a successful surgery is great news, unfortunately Glioblastoma is known to form “tentacles” that reach into and infiltrate healthy brain tissue, making it very hard to remove completely with surgery. It is not a matter of if , but when it will grow back. It is a relentless cruel disease that has no known cause or cure at this time.
Treatment
After recovering from surgery at MUSC in Charleston, I then transferred to the Duke Brain Cancer Center in North Carolina, due to their reputation and access to clinical trials.
In order to be eligible for clinical trials I had to begin what doctors call the ‘standard of care’ - which includes six weeks of radiation to start (Monday - Friday) in addition to daily chemotherapy for the foreseeable future. After I complete standard of care, I can be eligible to apply for certain clinical trials.
How does Glioblastoma occur?
Inside our brains (and body), cells are constantly dividing and replacing themselves. Normally, this process is very tightly controlled, if a cell gets damaged, the body has “checkpoints” that either repair it or tell it to self-destruct.
With glioblastoma, something goes wrong. A mistake (mutation) in the DNA of a glial cells in the brain changes the instructions that control growth. Instead of stopping when it should, the cell by chance, keeps dividing, over and over again.
These mutations are random errors, not inherited genetically, and not caused by lifestyle choices.
They can happen simply because cells are always dividing, and occasionally, a mistake slips through. A devastating, cruel accident of biology.
What’s next?
The majority of people diagnosed with Glioblastoma (GBM) are 55+, being 34, puts me in the rare 8% category of those under 40.
I pray that I will join the 5-10% that live beyond the average 12-18 months.
We know we have to be realistic, but gaining access to proven alternative treatments like these personalized tumor vaccines, gives me a real chance at continuing to fight this and gives my family and I hope.
We are fighting for as much time as possible, time to live fully, love deeply, and hold onto hope for better options to come that could give me more years.
From the bottom of my heart, thank you for reading this far and standing with us in this battle.
Sincerely,
Milton Stefano Sojo






