UPDATE: Smudge is home! The procedure to remove the earring with the endoscope worked exactly as planned and we got word from the vets who performed the procedure that his insides are all okay and we should expect him to be back to his normal insane self very soon. Thank you everyone who's donated so far, it's a huge relief to feel supported by some very nice and caring folks in the face of a daunting problem like this and our whole family appreciates it more than we can say.
Hello everyone.
Earlier this year, my wife Chelsea found a kitten abandoned and cold in the cart storage area at our local Walmart in the middle of a snowstorm. Being the empathetic and loving woman that she is, she wrapped him up in her coat, took him inside Walmart to buy a cat carrier, and brought him home. This was right on the heels of our big girl cat Nermal having tumor removal surgery for her terminal breast cancer (which we are still slowly paying off along with treatment costs for our previous cat Alaska's stomach cancer - which took place when Chelsea simultaneously lost her job and gave birth to Penny). The vets told us our little black fluffball was about seven weeks old at the time he came home with Chelsea. He was so dark and dirty when he got home, we decided to name him Smudge.
Smudge quickly settled into our family over the spring and started growing into a big boy. His manic kitten energy and silly personality made him a perfect fit for our household and a friend for our toddler Penny, especially considering the sad news we'd gotten about Nermal. We figured this was the cat distribution system at work!
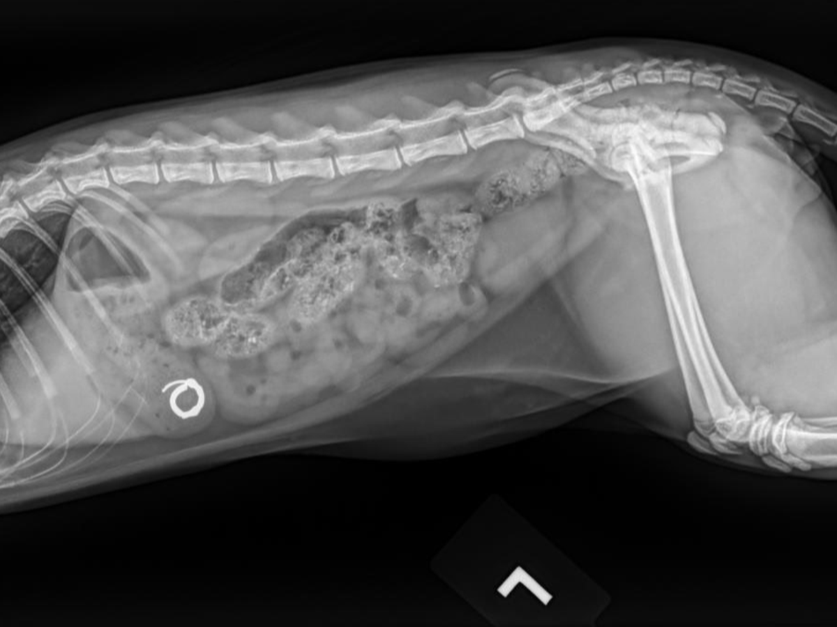
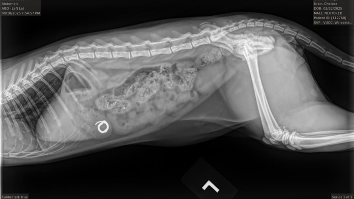
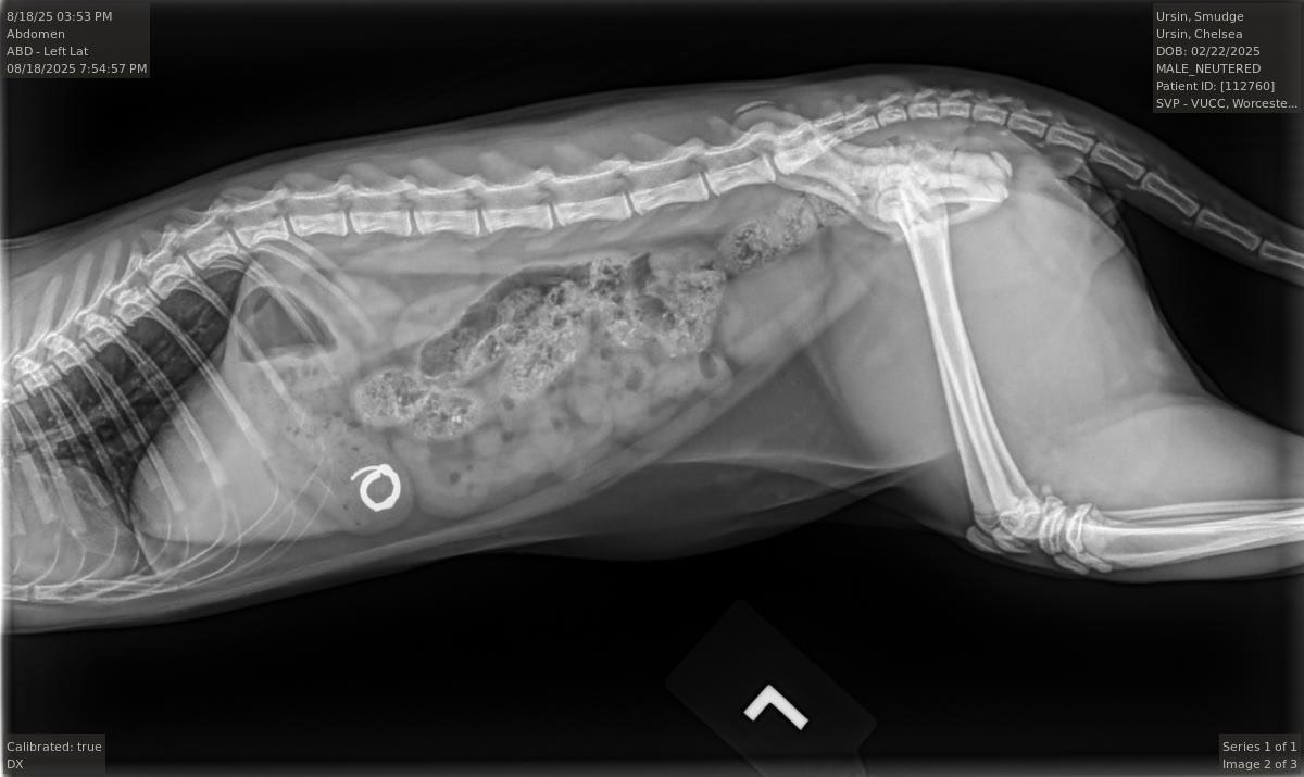
On the night of Sunday, August 17th, Smudge was cuddling with us in bed before we went to sleep. He started licking Chelsea's ear, and before she knew what had happened, he had somehow dislodged her hoop earring and swallowed it straight down his throat. After frantically checking the area around our bed and sifting through his poops the next morning, we took him to urgent care to get radiographs, and the results confirmed the worst. He had swallowed the whole earring, and it was currently resting in his stomach.
Today, August 20th, Smudge is at the Tufts Cummings School of Veterinary Medicine waiting to go under general anesthesia and have an endoscope put down his throat to hopefully remove the earring before it passes into his GI tract. Should it pass into his GI tract, a more invasive surgery may be required, and it could result in damage to his internal organs.
The costs for this veterinary emergency have added up quickly, and though we still don't have the final bill, it's going to be several thousand dollars between the radiographs and the pending operation. We are seeking any financial assistance to help us absorb some of these costs and help get Smudge back to his old crazy self. Anything that can be spared is greatly appreciated by us and by little Smudge.






