- D

English
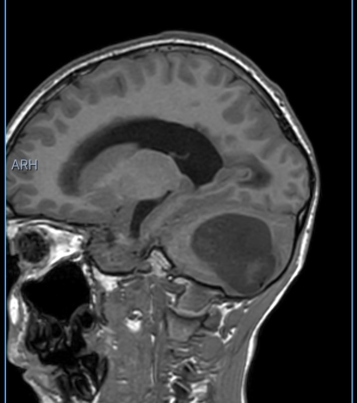
Sebasthian González is a 10-year-old boy from Isla Margarita, Venezuela, who has recently been diagnosed with a large arachnoid cyst located in the posterior part of his brain.
Over the past weeks, Sebasthian began suffering from severe headaches, persistent morning vomiting, and worsening neurological symptoms. After urgent medical evaluation, doctors confirmed that the cyst is causing obstructive hydrocephalus and severe intracranial hypertension, a condition that cannot be left untreated.
According to the medical report, Sebasthian requires immediate hospitalization and the placement of a ventriculoperitoneal shunt to relieve the dangerous pressure in his brain, followed by a second surgical procedure to treat and remove the lesion. Without timely intervention, the risk of serious neurological damage — and even life-threatening complications — is real.
The medical team has indicated that the full treatment must be carried out at the Hospital de Clínicas del Este, and the initial cost of care and surgery is estimated at USD 21,000, an amount that is completely out of reach for his family.
Today, we are asking for help so that Sebasthian can receive the urgent medical care he needs. Every donation, no matter the size, brings him one step closer to treatment and recovery. If you are unable to donate, sharing this campaign also makes a huge difference.
Thank you for helping us give Sebasthian the chance to heal, grow, and continue his life.
This fundraiser is organized by a family friend in Canada to ensure fast and transparent access to international donations.
Español
Ayudemos a Sebasthian González a recibir una cirugía cerebral urgente
Sebasthian González es un niño de 10 años, originario de Isla de Margarita, Venezuela, que recientemente fue diagnosticado con un quiste aracnoideo de gran tamaño ubicado en la parte posterior de su cerebro.
En las últimas semanas, Sebasthian comenzó a presentar dolores de cabeza intensos, vómitos persistentes por las mañanas y un empeoramiento progresivo de su estado neurológico. Tras una evaluación médica urgente, los especialistas confirmaron que el quiste está provocando una hidrocefalia obstructiva y una hipertensión endocraneana severa, una condición grave que no puede esperar.
Según el informe médico, Sebasthian necesita hospitalización inmediata y la colocación de un sistema de derivación ventriculoperitoneal para aliviar la presión en su cerebro, seguido de una segunda intervención quirúrgica para tratar y extirpar la lesión. Sin un tratamiento oportuno, el riesgo de daño neurológico grave — e incluso de complicaciones que pongan en peligro su vida — es real.
El equipo médico ha indicado que el tratamiento debe realizarse en el Hospital de Clínicas del Este, y que el costo inicial del procedimiento y la atención médica asciende a USD 21.000, una suma imposible de afrontar para su familia.
Hoy recurrimos a la solidaridad para poder brindarle a Sebasthian la atención médica urgente que necesita. Cada donación, por pequeña que sea, hace una gran diferencia, y si no es posible colaborar económicamente, compartir esta campaña también ayuda enormemente.
Gracias por ayudarnos a darle a Sebasthian la oportunidad de recibir tratamiento, recuperarse y seguir creciendo.
Esta colecta es organizada por una amiga de la familia en Canadá para poder asegurar acceso rápido y transparente a donaciones internacionales
Organizer and beneficiary
Ybelisse Moreno Salazar
Beneficiary






