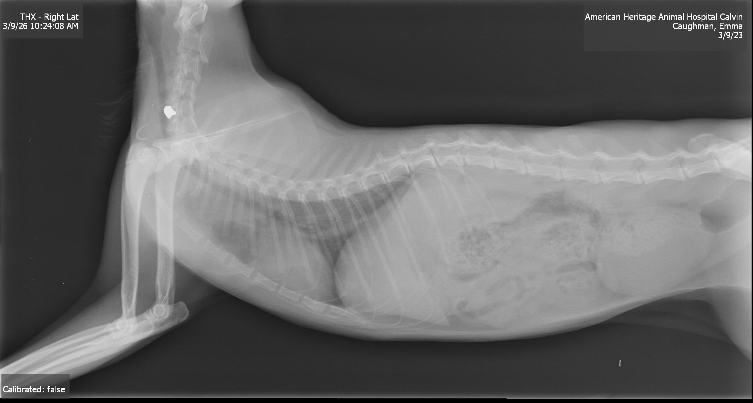
This is Calvin. One of our neighbors shot him. Calvin is one of the neighborhood strays in our community, and we've fed and cared for him since he was a kitten. Since he grew up around us, he's very social and super friendly—honestly, I've never met a cat this sweet. On Friday, we found him crawling up to our door, stumbling and dragging his front leg, with a bloody wound on his neck. We assumed he'd broken his leg and thought he'd been attacked by something or possibly hit by a car. But after taking him to the vet, we learned that what he went through was much, much worse. The vet took an X-ray, which showed a bullet lodged in his spine. The bullet barely missed his artery and is only a hair away from his spinal cord. They believe that it's damaged a nerve that has affected his ability to move and feel his leg. His prognosis is uncertain, as surgery to remove the bullet would cost thousands of dollars, which we don't have. Now, all we can do is wait and see what happens. If the bullet migrates, he could become completely paralyzed and would have to be euthanized. We've already spent a lot in vet bills, and as much as we'd love to get him surgery to remove the bullet, we simply can't afford it. We're trying to raise money to give him the best chance of survival. If he doesn't make it, we will use any funds raised to TNR the remaining community cats. We love Calvin and want to give him the best chance at life. Any support, no matter how small, will make a difference for him and our community cats. Please help us save Calvin and support our neighborhood strays.






