Samuel is an 11-year-old boy who brings so much joy and love to his family. He is incredibly smart and caring, always finding ways to brighten the day of those around him. Despite being raised in a tough situation in Venezuela, Samuel remains hopeful and resilient, even as he faces the challenges of a constantly changing country.
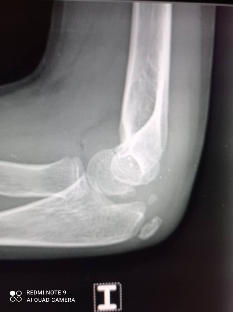
A few days ago, Samuel suffered a broken arm. While he now has a cast, he needs an ambulatory procedure and physical therapy to ensure a full recovery. Unfortunately, Samuel does not have insurance, and the costs of surgery and PT are more than his family can manage on their own. Your support will help cover these essential medical expenses and give Samuel the best chance to heal and return to his joyful, active life.
With the love of his family, his deep faith in God, and the kindness of people like you, Samuel can overcome this difficult moment. Any contribution, big or small, will make a meaningful difference. Thank you for helping Samuel get back on his feet and continue living his life to the fullest.
---
Samuel es un niño de 11 años que llena de alegría y amor a su familia. Es increíblemente inteligente y cariñoso, siempre buscando maneras de alegrar el día de quienes lo rodean. A pesar de haber crecido en una situación difícil en Venezuela, Samuel se mantiene esperanzado y resiliente, incluso mientras enfrenta los desafíos de un país en constante cambio.
Hace unos días, Samuel sufrió una fractura en el brazo. Aunque ya tiene un yeso, necesita un procedimiento ambulatorio y terapia física para asegurar una recuperación completa. Lamentablemente, Samuel no tiene seguro médico y los costos de la cirugía y la rehabilitación son más de lo que su familia puede afrontar sola. Tu apoyo ayudará a cubrir estos gastos médicos esenciales y le dará a Samuel la mejor oportunidad de sanar y volver a su vida activa y alegre.
Con el amor de su familia, su profunda fe en Dios y la bondad de personas como tú, Samuel puede superar este momento difícil. Cualquier contribución, grande o pequeña, hará una diferencia significativa. Gracias por ayudar a Samuel a recuperarse y seguir viviendo su vida al máximo.
A few days ago, Samuel suffered a broken arm. While he now has a cast, he needs an ambulatory procedure and physical therapy to ensure a full recovery. Unfortunately, Samuel does not have insurance, and the costs of surgery and PT are more than his family can manage on their own. Your support will help cover these essential medical expenses and give Samuel the best chance to heal and return to his joyful, active life.
With the love of his family, his deep faith in God, and the kindness of people like you, Samuel can overcome this difficult moment. Any contribution, big or small, will make a meaningful difference. Thank you for helping Samuel get back on his feet and continue living his life to the fullest.
---
Samuel es un niño de 11 años que llena de alegría y amor a su familia. Es increíblemente inteligente y cariñoso, siempre buscando maneras de alegrar el día de quienes lo rodean. A pesar de haber crecido en una situación difícil en Venezuela, Samuel se mantiene esperanzado y resiliente, incluso mientras enfrenta los desafíos de un país en constante cambio.
Hace unos días, Samuel sufrió una fractura en el brazo. Aunque ya tiene un yeso, necesita un procedimiento ambulatorio y terapia física para asegurar una recuperación completa. Lamentablemente, Samuel no tiene seguro médico y los costos de la cirugía y la rehabilitación son más de lo que su familia puede afrontar sola. Tu apoyo ayudará a cubrir estos gastos médicos esenciales y le dará a Samuel la mejor oportunidad de sanar y volver a su vida activa y alegre.
Con el amor de su familia, su profunda fe en Dios y la bondad de personas como tú, Samuel puede superar este momento difícil. Cualquier contribución, grande o pequeña, hará una diferencia significativa. Gracias por ayudar a Samuel a recuperarse y seguir viviendo su vida al máximo.





