Hello everyone! I hope all is well with all of you and your pups. I wish I could say things were perfectly fine over here, as things have been for a while, but we're in an odd kind of situation. I want to preface all of this with: We are actively searching for answers and are seeing a specialist. There are absolutely 0 answers at this time and it is so incredibly difficult to wait for them. Sage is my baby boy and to not know what is going on kills me more than the funds rapidly stacking up. I didn't want to set up this GoFundMe at all, nevermind until we had some possible answers, some kind of game plan, but I want to be able to do anything and everything I can to get my boy a diagnosis and treatment.
On November 18, Sage followed me into the bathroom as usual, and when I walked out, I noticed a drop of blood on the ground. I searched him over - assuming he had an injury. Soon, I found blood on his nostril - not a lot, not gushing, just a good little glob and a drip. I thought he was snuffling around on something, scraped his nose on a stick outside or the poop muzzle he wears occasionally as he tries to shove his nose through it sometimes.
I didn't spot anything else unusual, so I just kept an eye on him since the bleeding stopped/didn't continue. The next day I took a photograph of him waiting for breakfast, but nothing pinged concerning still.
Between then and Thanksgiving he had some mild reverse sneezing that I considered was the sudden snow/cold and dry air, but no blood. His right eye was watering a bit, but I had recently changed his food. His anal glands had been leaking, but he'd been having to have them expressed for a while now. I thought I might need to switch him back to the usual food as lot of these things could be perceived as a poor reaction to a new food.
It was on Thanksgiving that I noticed a bump on his muzzle - on the top right side, kiddy-corner to his eye. This still didn't ping as huge of a concern as it now is, as I hadn't put the symptoms together as a whole problem, only as separate ones. He often bumps his face on the counters and chairs, and while I'm always concerned with a "Careful, Sage, you're going to hurt yourself!" it felt like it was a matter of time before he gave himself an egg... right?
It was when I felt the bump and noticed what felt like a hole in the bone beneath it, that I realized this was very concerning, not just a bruise, and that I really needed to sort out what it was. Unfortunately, the vet was closed due to Thanksgiving, through Friday and the whole weekend. He wasn't in critical condition - he was his usual self and not actively bleeding, so I waited impatiently.
I went through pictures and there was no noticeable bump on him on a photograph from November 16, but I noticed it on a picture from November 19 - after the nosebleed.
I got ahold of the vet on that Monday and immediately set up the earliest appointment I could get. Between then and the vet appointment, mostly translucent blood occasionally came out of his nose when shaking - so minute that I often only found it dried on his fur or just a little drop. It made sense considering the .. what felt like a hole in his bone.
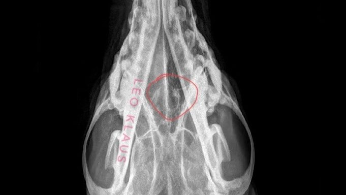
He went in on December 4th, was sedated, and got an X-ray done on his head and chest. This told us nothing aside from yes - there is a hole in his bone. There's no mass or tumor, there's no fuzziness on the edges of the hole, and his lungs look good. My vet, who has been seeing Sage since I got him, doesn't believe it to be cancer, though he also said unilateral nosebleeds are rarely not cancer. But, X-rays can only pick up so much in terms of other possibilities - Could it be a foreign body like a foxtail? A fungal infection like Aspergillosis? Neither of those show up on X-ray.
They sent us home with Carprofen in case of any pain. After the X-ray he had blood ooze out (normal from palpating the bump, they said) and a snotty/stringy glob come out of his nose - mostly a VERY pale, translucent yellow with a pink tint to some of it. I had to pull it out (he hated that lol).
I was going to take him in for another X-ray on Dec 31, but it might not tell us anything particularly new, so I set the earliest appointment I can for him to have a consultation with an Internal Medicine Veterinarian on Christmas Eve. There they will look over the X-rays and records from his general vet appointment and we will set up an appointment for a CT scan. Other possibilities are a rhinoscopy, blood test, whatever we have to do to figure this out so we can take the next step in treating this mysterious.. whatever this is. CT is the most promising test we can do.
If it's a foreign body, he'll likely have to have surgery of some sort. If it's Aspergillosis, the treatment can run into the $10,000's, depending on the severity. If it's cancer, we will look at options, but the prognosis for radiation is poor...
I can't ignore this, I can't assume what it is, and none of this can wait. I have to see if it is something we can treat.
On December 10, Sage had a bloody nose that persisted all day. From every half hour to every couple hours, blood would drip from his nose - again, no gushing or excessive dripping. It'd mostly come out when he would shake. I took a photo and cleaned him up whenever I noticed (had my eyes on him all day) so that I can share with the specialist the frequency and amount. His gums remained nice and pink, his personality happy and perky. But his one nostril is vaguely clogged. We did some research and Carprofen can affect clotting of the blood, so we ceased that since he doesn't appear to be in any pain.
December 11 he had only had a little bit of blood, much further apart and more coagulated, but his crate bed was covered in blood spots from the night before (at this point in time it often looked worse than it actually was due to the blood being watered down by.. nose juice?). He's been super perky and happy the entire time.
I've called the specialist numerous times, and even my vet did for me, but they cannot get us in any sooner.. they also do not hold a cancellation list. Most emergency vets won't be able to diagnose or do anything that will solve the actual problem, which is too deep in his nose to be addressed in normal means.. so as long as Sage continues to act alright personality-wise, all we can do is wait..
It felt like we'd figured it out with the Carprofen and he'd be alright until the next week, as the bleeding slowed so much.
But here we are again, the catalyst that has pushed me to finally make this GoFundMe. December 16, Sage has absolutely terrified me with the amount of blood he's had come from his nose. The vet says it is likely more than it looks, but I think anyone would be absolutely horrified at the quantity either way. I know that I am.
He'd been fine in between Dec 10 and now, super perky, happy, eager to do tricks. But on Dec 16 from 9:00am to 10:00am he began outwardly sneezing and his nose bled pretty intensely. Not pouring, but blood all over him, sneezing clots on to me, on the floor, walls... I have been in contact with my vet and he is going in Dec 17 for a CBC panel to check his blood count and give us even a hint of what could be going on until his consultation next week. The vet says as long as his gums are pink and he's behaving pretty normal, that all we can do overall is wait for the Internal Med Vet appointment(s).
But, like I said, the funds are, and will be rapidly stacking up, and I have no idea how much the total cost will be by the end of this search-and-find-out journey. We're already going to be at about $1000 just for the general vet visit, consultation, and blood panel which is fine. That's doable, but CT is expected to be $800, not including fluids, anesthetic/catheter, contrast.. and if they need to send it out to a radiologist - an extra $550. And none of this includes rhinoscopy, biopsy smears, or treatment.
Which is fine - I am doing, and will do whatever I have to to help my boy. He is my everything. No one ever even guesses he'll be 12 years old on January 28. Sage has been so healthy, so perfect, and he still is, even with this mysterious ailment. He's my fully trained Service Dog and he's never even had to be under anesthetic. He had heartworm when I purchased him (not from his actual breeder), so I HATE that he's possibly going to have to undergo some other harrowing treatment.. unfortunately due to that pre-existing situation, we've never gotten him pet insurance.
So, while I hate to ask for help, I am going to have to, to prepare for the terrible amount of money this is likely to cost. None of it hurts as much as it hurts seeing the blood coming out of my boy's nose and knowing something is wrong without knowing what it is.
THANK YOU so much, to anyone that is willing to consider contributing. If you'd like to donate more directly to Sage's diagnosis and treatment, please reach out to me. ANYTHING that is not used, will be donated to the Silken Windhound Health and Rescue, but I have a feeling my boy will need any and every penny he can get.




