Ramtin Nejad is a 14-year-old boy from Iran. Ramtin and his family arrived in the US in 2022 and claimed asylum. His family had converted from Islam to Christianity while in Iran, which is a crime against the State. They attended a small secret “house church” until one of their members was discovered and arrested. They knew that, under interrogation, their names would be revealed. Ramtin’s parents left good jobs behind, took Ramtin and what they could carry, and fled. Ramtin and his family arrived in the US, worked through their legal cases with the immigration court, and are now all permanent legal residents. They have moved together into a house with two aunts and uncles and are making new lives for themselves.
Ramtin is finishing his freshman year at Tempe High with excellent grades in the International Baccalaureate program. He is also a fine musician, playing piano and Santoor, an Iranian hammered dulcimer. He is often called upon to translate for his parents, aunts, and uncles. He is active in the church youth group and a participant in its many service projects.
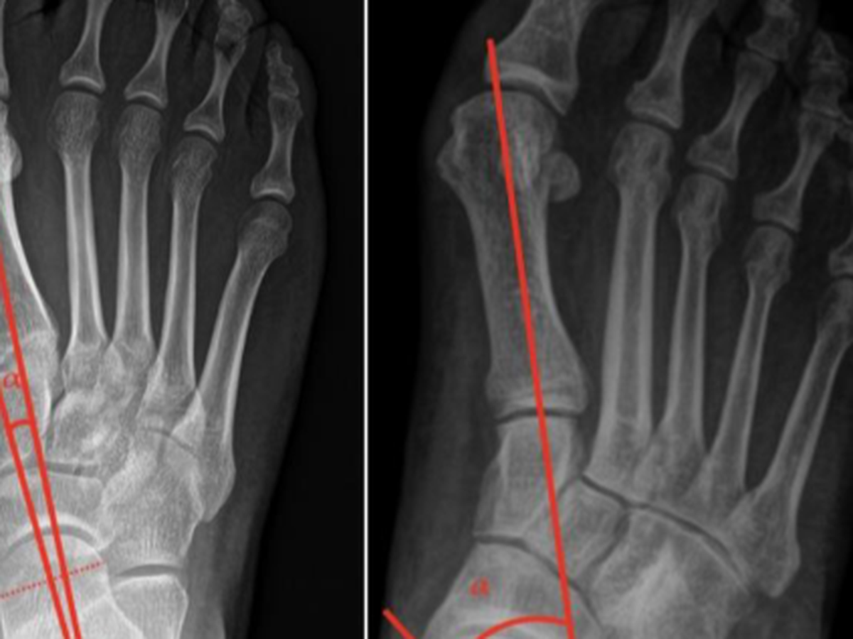
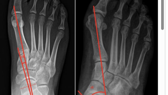
Ramtin has two flat feet. As he grew, it was hoped that special inserts would resolve this issue, but it hasn’t. He walks with pain, and the condition is now also affecting his back.
The family insurance plan has a $16,000 deductible. That is, the first $16,000 of surgical bills have to be paid before the insurance will kick in. Every dollar donated will help toward paying for this surgery. It is a wonderful way to make a difference in the life of one young man while showing the whole family and community that America can still be a welcoming and inclusive place for refugees.
Fundraising team: Co-organizers3
Reza Foladi
Beneficiary



