Help Purnima who has a rare form of heart disease

  • T
21 donors
0% complete

$2,975 raised of $5K

Help Purnima who has a rare form of heart disease

Donation protected


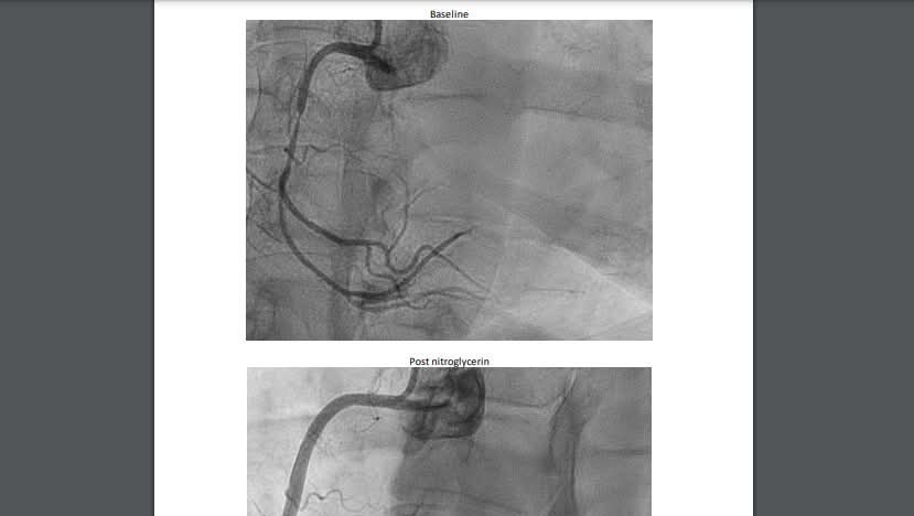
Update as of July 20: I had a second heart catherization on July 9 and had a confirmed diagnosis of Prinzmetal Angina (coronoary vasospasms). I had a 90% blockage in my right coronary artery because of a severe spasm. My symptoms have gotten worse and I can't talk or eat easily anymore. Only lying down in bed mostly helps, even then I have pain and shortness of breath.

Update as of Dec 6: I have a heart catheterization procedure scheduled for December 31 that may or may not warrant additional surgery and I'm asking for help with donations to raise money in helping for the expenses for the procedure.

Hello everyone. I thought it is time to reach out to everyone and tell you all about my medical condition. What seemed to start as some chest pain and shortness of breath after I took the COVID Pfizer vaccine in May 2021, led to me developing pericarditis. With time things got progressively worse and it still is. The heart complications further led to me having spasms and developing micro-vascular dysfunction.

I am in a trial study for microvascular angina. I have never felt normal since May 2021 and I honestly don't even know what life was like before that. My condition doesn't really have a treatment like mainstream coronary heart disease in which people undergo surgeries to have stents and pacemakers placed in their hearts. This is a rare form of heart disease and I am one of several others who developed it after the vaccine. It is only managed as best as one can, with medication, visits to the cardiologist and doing tests to check on how the heart is functioning.

My husband, Carleton and I are exhausted in our physical, emotional and mental capacities doing whatever we could over three years to try and make things more comfortable. My husband worked outside the home for as long as he could but my condition deteriorated so much in the last two months since mid-August that that was it for us, and he has now transitioned to teaching online from home. Online teaching doesn't pay much and being in the US he makes just enough for rent and groceries.

We were always hoping that I get better and for a fleeting period of time earlier this year I thought I actually might have for a couple of months and naively assumed my disease actually disappeared, but I learnt from many others who are in my condition that it is just temporary. My symptoms came back with full intensity and now I am in such a poor state that it is difficult for me to even walk from the bedroom to the living room without feeling pain and pressure in my heart, and if by some miracle there are days that I don't feel that it is a huge accomplishment for me. Most days of mine are just spent in bed watching things on TV and managing chest pain and shortness of breath. I

I have been taking heart medication, and have received charity care and financial assistance from two hospitals in Jacksonville, Florida where I live, but that can only be used for certain tests at the hospital or other services, and not for medication or seeing cardiologists and undergoing advanced treatment or surgery. When I re-applied for insurance, I was denied because of pre-existing health conditions, starting with my diagnosis of pericardial effusion.

My husband works around the clock with not much sleep, juggling cooking bringing me food to my bed, teaching whatever lessons he can when he gets online, and every other possible household chore that you can imagine.

I am asking for your help in whatever capacity you are able to contribute, for my cardiologist appointments, Uber rides for these medical visits as we don't have a car, buy new medication, and go do tests that are ordered by my cardiologist, which I simply haven't been able to over the last year and a half, since we have never had any extra money to be able to do that. I send a small amount of money from what we have left after paying rent and utilities, and grocery expenses, to my mother who is in India, who only has us to lean on, and I really wish I could do more. With rent, groceries and sending money overseas we are barely left with much. We make sure we have some left in our account to be able to make trips to the hospital.

I wholeheartedly appreciate you taking the time to read this, as I understand that this is a lot to process and grateful for your generosity and any contribution you are able to make towards this cause. I am happy to answer any questions you might have and share information with you that you would like to know.

Organizer and beneficiary

Purnima Iyer
Organizer
Jacksonville, FL
Carleton Cole
Beneficiary
  • Medical
  • Donation protected

Your easy, powerful, and trusted home for help

  • Easy

    Donate quickly and easily

  • Powerful

    Send help right to the people and causes you care about

  • Trusted

    Your donation is protected by the GoFundMe Giving Guarantee