- R
- A
**Urgent
Urgent Help Needed for My Cat’s Life-Saving Surgery
Hello,
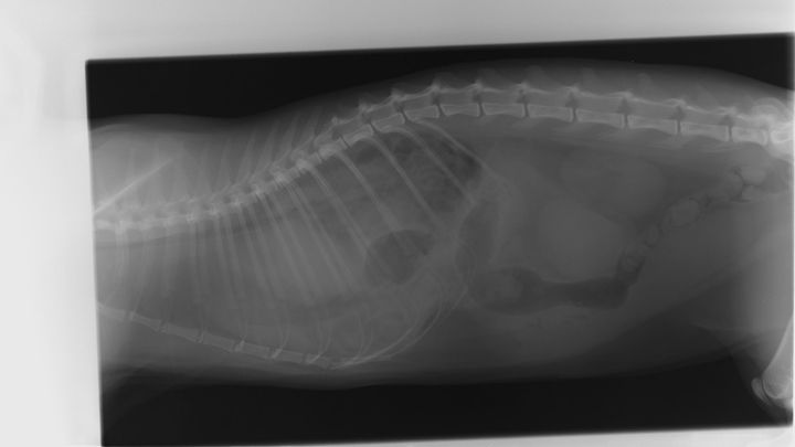
I’m reaching out because my cat, Phoebus, desperately needs life-saving surgery, and I can’t afford it on my own. Just two days ago, I took him to the vet after struggling for a long time to get him the care he needs. He has always had breathing issues, and I initially thought it was asthma. However, after an X-ray, the vet diagnosed him with a severe diaphragmatic hernia, a condition where a hole between his abdomen and chest has allowed his intestines to push into his chest cavity. This is crushing his lungs, making it incredibly difficult for him to breathe.
I have raised Phoebus since he was a baby, and he has been my best friend through everything. He is the sweetest, most loving boy, and he doesn’t deserve to suffer like this. The only option to save him is surgery. Without it, his condition will only worsen. I want to do everything I can to help him, but as a college student with no financial support, I simply can’t afford the cost. My parents refuse to help and have even called me mentally ill for wanting to spend money on my cat’s medical care. They don’t understand that he is not just a pet to me. He is my only source of comfort and companionship.
I hate asking for help, but I have no other options. I can’t imagine losing my baby just because I don’t have the money to save him. If you can donate anything, even a small amount, it would mean the world to me. Every dollar brings me closer to giving him the care he needs to survive.
If you’re unable to donate, sharing this would also help tremendously. Thank you so much for taking the time to read this. I truly appreciate any support.

