- D
- J
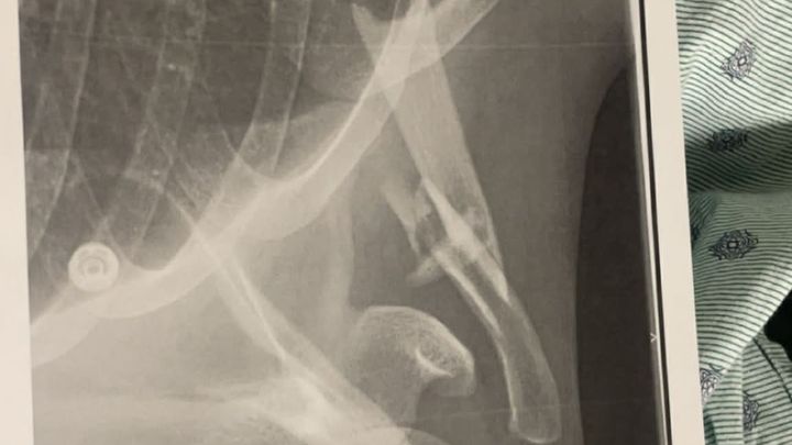
Our best friend, Ulyses, attended his very first Buffalo Bills game at Highmark Stadium — making it even more special as it was the last game ever played at that stadium. Wanting the full Bills Mafia experience, he proudly took part in the tradition of breaking his first table. What was meant to be a legendary moment quickly turned into a life-changing one.
During the jump, he suffered a severe injury, breaking his clavicle bone which will require surgery the following morning. The recovery process will take 2/3 months. Between lost income, medical bills, surgery costs, and ongoing recovery expenses, the financial burden is becoming overwhelming.
Despite everything, he has remained incredibly positive. He felt truly welcomed by the Bills Mafia community and has said he wouldn’t change the experience — even now. That sense of brotherhood and support is what inspired us to create this GoFundMe.
We are asking for help to ease the financial stress during his recovery so he can focus on healing without worrying about bills piling up. Any donation, share, or kind message means more than we can express. Thank you for supporting one of our own — Go Bills ❤️



