- R
- d
- B
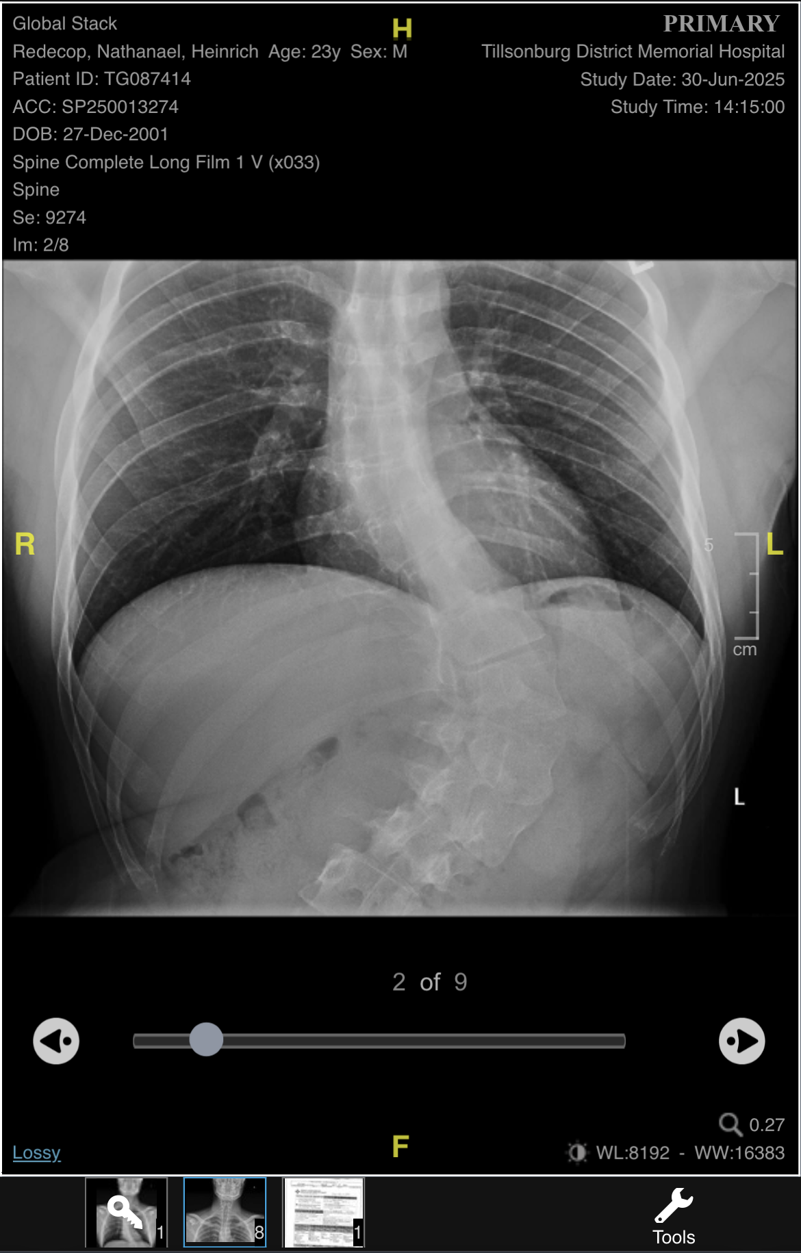
Hello. This is my nephew Nathanael Redecop. He is 24 years old and has been living with severe scoliosis. As you can see in the photo, the curve in his spine has progressively worsened to 68 degrees. He is unable to sit or stand for long periods of time. Laying flat on his back gives him the least amount of pain.
Nathanael's parents Hank and Maria were told that the only option that is covered by OHIP is spinal fusion. This would involve inserting a steel rod along his spine and fusing the vertebrae together to prevent further degeneration. This would also limit his movements and there is no guarantee that he would be free of pain in the future. Often this surgery would need to be repeated after 10 or 15 years.
After a great deal of research, a specialized clinic in Germany was found that offers one of the highest success rates for correcting severe scoliosis like Nathanael's. This surgery could significantly straighten his spine and improve his quality of life for the future.
Although this option offers hope, it comes with a cost of approximately $260,000 CDN. This includes the procedure, hospital care, 3 weeks of physiotherapy (before he can return home), and also the travel expenses.
Efforts at raising the funds needed:
Nathanael's parents, along with 3 of his uncles, were able to purchase a property for development just as the real estate market was starting to sky rocket. The hope was that after selling the future lots there would be enough money left to cover all the development costs as well as take care of Nathanael's surgery. The engineers had reported that the project could take up to 2 years. It actually took 4 ½ years ...and it also exceeded the cost estimates. Now the real estate market has taken a down turn and the listed selling price has had to be reduced considerably. As it stands now, if the land sells at the current asking price, it should at least cover the development costs incurred.
A demonstration of Nathanael's character & courage;
Nathanael Redecop, along with his younger cousins Caleb and Zach Dyck, received recognition from Tillsonburg Mayor Stephen Molnar for bravely saving a family at Big Otter Creek in June 2018. You can read the newspaper article here:
https://www.norfolkandtillsonburgnews.com/news/local-news/teen-heroes-recognized-for-preventing-potential-drowning
Julie Dawley, Aquatics Supervisor in Tillsonburg, nominated them for the Rescue Award of Merit granted by the Life Saving Society, with the official ceremony held during the Governor Awards Gala in Toronto in 2019.
The award was given to Nathanael for his swift response when a family of three started to drown after one swimmer suffered leg cramps. Drawing on his Bronze Star training, Nathanael and his cousins managed to bring the father and two children safely to shore.
This experience motivated Nathanael to become a lifeguard and swim instructor, a role he fulfilled for several years until his persistent back pain forced him to give that up.
As a family, the cost for this surgery is an amount that is far beyond what we can manage alone. We are humbly asking for help from friends, family, neighbors, and anyone willing to support Nathanael's journey toward healing.
Every donation, prayer, and share means the world to us. Thank you for helping give Nathanael a chance for a pain free future.
Organizer and beneficiary
Henry Redecop
Beneficiary


