English: A few days ago, my grandmother suffered a fall that fractured her hip bone which connects to the femur. She is in a grave state and cannot stand or walk at all. Before this she had already suffered from cataracts in her eyes, leaving her vision at no more than 30%. Not being able to walk or be mobile has severely affected her mental state because now she can't move or see well.
The only option to heal her hip is an immediate surgery wherein a prosthetic hip would replace her broken one allowing her to walk in less than a week. Safe, reliable medical centers in Venezuela are few and far between so finding one that is willing to do this surgery is extremely expensive and not covered by any sort of insurance.
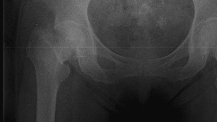
I'm attaching pictures of the fracture as well as the prosthetic surgery that would completely restore her hip.
.
We are humbly asking for help in raising the money to cover this surgery. It is extremely time-sensitive and we would truly appreciate any help possible. Thank you so much.
_______
Español: Hace unos días mi abuela sufrió una caída que le fracturó el hueso de la cadera que conecta con el fémur. Se encuentra en un estado delicado y no puede pararse ni caminar en lo absoluto. Antes de esto, ya había sufrido cataratas en los ojos, dejando su visión en no más de un 30%. El no poder caminar ni moverse ha afectado gravemente su estado emocional.
Las única opcion para curar su cadera es una cirugía inmediata, una prótesis de cadera recontriuria la fracturada y le permitiria caminar nuevamente en menos de una semana. Los centros médicos de calidad y confiables en Venezuela son escasos. Encontrar uno que esté dispuesto a realizar esta cirugía es extremadamente costoso y no está cubierto por ningún tipo de seguro.
Aqui hay fotos de la fractura y de la cirugía protésica que restauraría por completo su cadera.
Estamos pidiendo humildemente ayuda para recaudar el dinero para cubrir esta cirugía. Es extremadamente urgente y realmente agradeceríamos cualquier ayuda posible. Muchas gracias.

