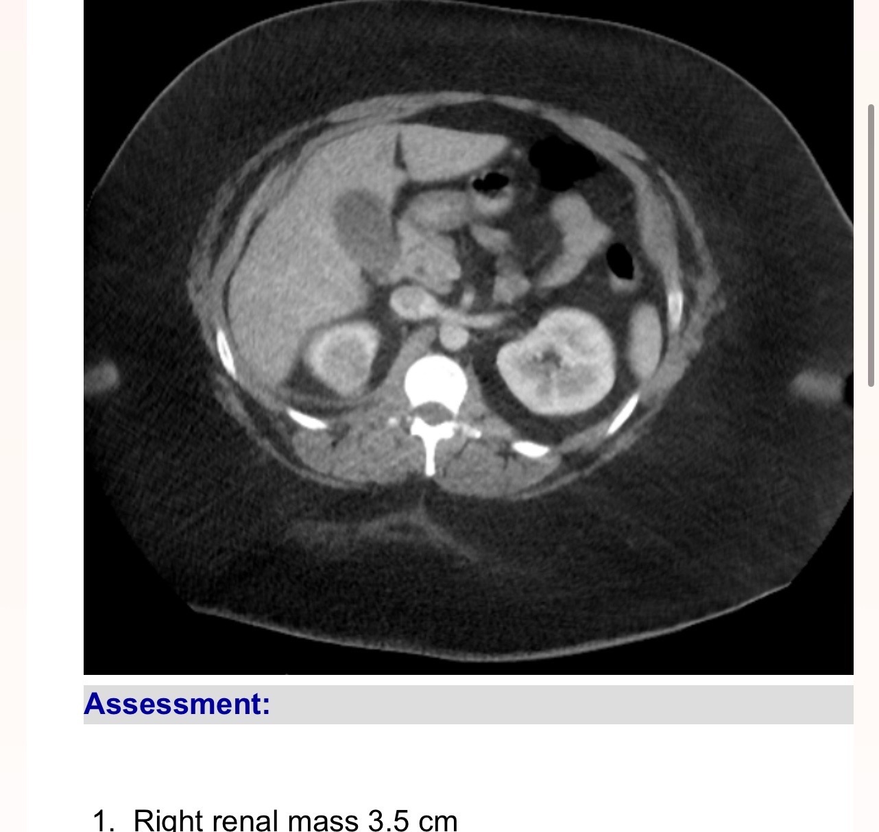
My daughter is facing one of the most difficult times of her life. She was recently diagnosed with Renal Cell Carcinoma, a form of kidney cancer, and just as we were coming to terms with this devastating news, she lost her job and her medical insurance. The doctors have told us that she needs life-saving surgery in just two weeks, but without insurance, the costs are overwhelming.
Because her job ended after her diagnosis, she no longer has medical coverage and must pay for COBRA insurance out of pocket to receive the surgery and follow-up care she desperately needs. The surgery will remove the masses and, hopefully, the cancer located in them. The financial burden is immense, and the stress of figuring out how to pay for everything is taking a toll on her health and our family.
All funds raised will go directly to covering her medical insurance so she can have the surgery to remove the masses and, hopefully, the cancer located in them, as well as the recovery care she needs to fight this cancer. Any support you can give—whether it’s a donation or sharing her story—will make a world of difference. Thank you for helping us during this critical time.
Because her job ended after her diagnosis, she no longer has medical coverage and must pay for COBRA insurance out of pocket to receive the surgery and follow-up care she desperately needs. The surgery will remove the masses and, hopefully, the cancer located in them. The financial burden is immense, and the stress of figuring out how to pay for everything is taking a toll on her health and our family.
All funds raised will go directly to covering her medical insurance so she can have the surgery to remove the masses and, hopefully, the cancer located in them, as well as the recovery care she needs to fight this cancer. Any support you can give—whether it’s a donation or sharing her story—will make a world of difference. Thank you for helping us during this critical time.






