On July 22, 2022, our family’s world changed forever. Two of my younger brothers were involved in a devastating car accident. Our youngest brother suffered three broken ribs and endured weeks of pain. But my second youngest brother—the driver—was injured far more severely. The engine block crushed his leg, fracturing it and leaving him trapped.
He was in excruciating pain and required emergency surgery to save his life. What followed were months of slow, painful healing. After four months of treatment and physiotherapy, he was finally able to walk again—with crutches. We believed the worst was behind us.
Then, on May 25, 2025, tragedy struck again.
While driving with his wife and daughter, my brother pulled over his car. Without warning, an armed guard shot him. The bullet struck the same leg that had already suffered so much. He was rushed to the hospital and underwent another surgery, hoping this time would bring relief.
Sadly, it didn’t.
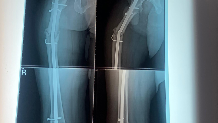
Today, my brother is in unbearable pain. Recent X-rays show that his femur appears broken again. His leg is deteriorating, and without urgent surgery, he may permanently lose it.
Our family has been told we must pay $7,000 out of pocket for the Italian Hospital in Zambia to perform the life-saving surgery needed to save his leg. This amount is far beyond what we can manage on our own.
As a family, we are exhausted, heartbroken, and afraid—but we have not lost hope.
I am humbly, desperately asking for your help. Any contribution, no matter how small, will bring us closer to saving my brother’s leg and relieving his unbearable pain. If you cannot donate, please consider sharing this appeal with others.
I am truly down on my knees, asking for compassion, prayers, and support during this critical time.
Thank you for reading, for caring, and for standing with us in our moment of need.
Organizer
O
Oswell Mwenya Chongo Foundation
Beneficiary


