My name is Jordan, and I’m writing this on behalf of my partner, Megan.
Megan is 33 years old and has dedicated over a decade of her life to working on the front lines of healthcare as a cath lab technician. Every day, she is part of a critical care team that helps save lives during some of the most serious cardiac emergencies—long hours, high pressure, and constant responsibility. She is deeply respected by her coworkers and known for her calm presence, intelligence, humor, creativity, and genuine compassion for the patients she cares for.
About a year and a half ago, our lives changed in ways we never expected.
We relocated to California hoping to build a better future—career growth, stability, and long-term opportunity. It was an expensive move, but one we made carefully, thoughtfully, and with optimism. What we couldn’t have planned for was what came next.
Not long after settling in, Megan began getting sick. At first, the symptoms were sporadic. Then they became frequent. Then they became frightening.
Megan started experiencing episodes of severe pain, inflammation, nausea, dizziness, and exhaustion that came without warning. Many of these episodes ended in emergency room visits as we searched for answers that never seemed to come. Test after test came back without a clear cause, and each time we were sent home without answers while her symptoms continued to worsen.
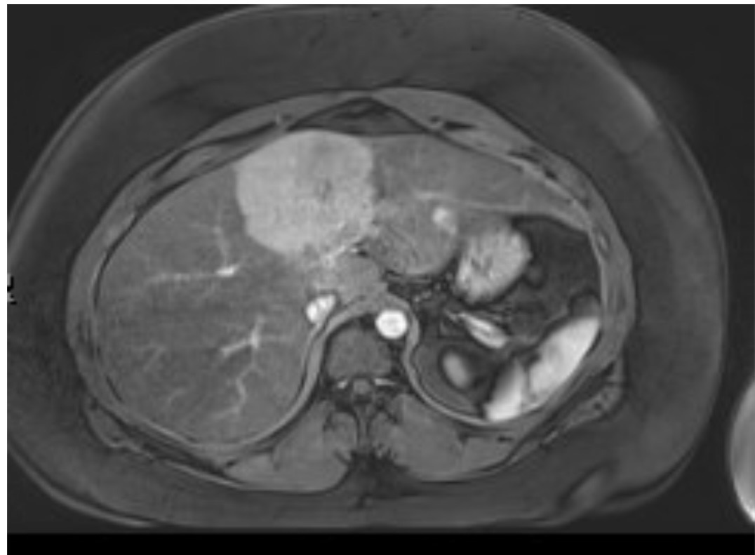
In October 2025, during one of those ER visits, doctors finally found something concrete: an 8 cm tumor in Megan’s liver, along with two smaller tumors and signs of severe non-alcoholic liver disease. Megan has no history of smoking, drinking, or chronic illness. She has always been healthy in both diet and lifestyle. The diagnosis was a shock—but it finally explained why her body had been failing her.
Since then, we’ve been caught in a long and exhausting waiting period—more imaging, more bloodwork, insurance delays, referrals, and difficulty getting her in front of the right specialists. Doctors are still working to determine the exact cause of the tumors and the safest path forward.
On her worst days, the inflammation is extreme. The swelling around her upper abdomen, liver, and back becomes rigid and intensely painful—so much so that it limits her ability to move or even breathe comfortably. The pressure in her chest can feel frighteningly similar to a heart attack. She experiences deep, bone-level pain, overwhelming nausea, dizziness, weakness, and crushing fatigue. On those days, she cannot work or manage basic daily tasks without help.
What has been hardest to watch is how quietly Megan carries all of this. Most people don’t see how much she is suffering because she has spent her life being the strong one for others. But this illness has taken so much from her—her energy, her independence, and the ability to live without constant pain and uncertainty.
Megan has exhausted all of her PTO and sick leave. When her symptoms flare and she is unable to work, she does not receive pay—sometimes for up to a week at a time. She pushes through the pain as much as possible, but during the worst flare-ups, she can barely get out of bed and has no choice but to take time off.
I had planned to return to school to further my career after our move, but those plans are on hold. Instead, I work a flexible but lower-wage job so I can care for Megan during severe flare-ups, manage our household, and attend medical appointments with her. I handle the day-to-day responsibilities because she simply doesn’t have the energy to do anything beyond trying to get through the workday when she’s able.
Despite doing everything we can to stay afloat, the financial strain has started to become overwhelming. Medical appointments, imaging, specialist care, medications, and basic living expenses continue to add up—costs that insurance does not fully cover. Surgery may be an option, but until we have clearer answers, we remain in a holding pattern that is draining us emotionally, physically, and financially. The road to recovery, whatever that may look like, is likely going to be a long one.
I created this fundraiser because we can’t do this alone anymore.
How This Fundraiser Will Help
Funds raised will help cover:
- Ongoing medical testing, imaging, specialist care, and medications
- Basic living expenses during unpaid time off and loss of income
- Groceries, supplementation, utilities, and other essential daily needs
Megan dreams of healing and returning fully to the work she loves—caring for patients without her body working against her. She has spent years supporting people through moments of fear and uncertainty. Now, I’m asking for support on her behalf so she can focus on healing and finding answers.
If you’re able to donate, share this fundraiser, or leave a message of encouragement, it truly means more than I can express.
Thank you for taking the time to read Megan’s story and for standing with us during this incredibly difficult chapter.





