- E
Hello everyone,
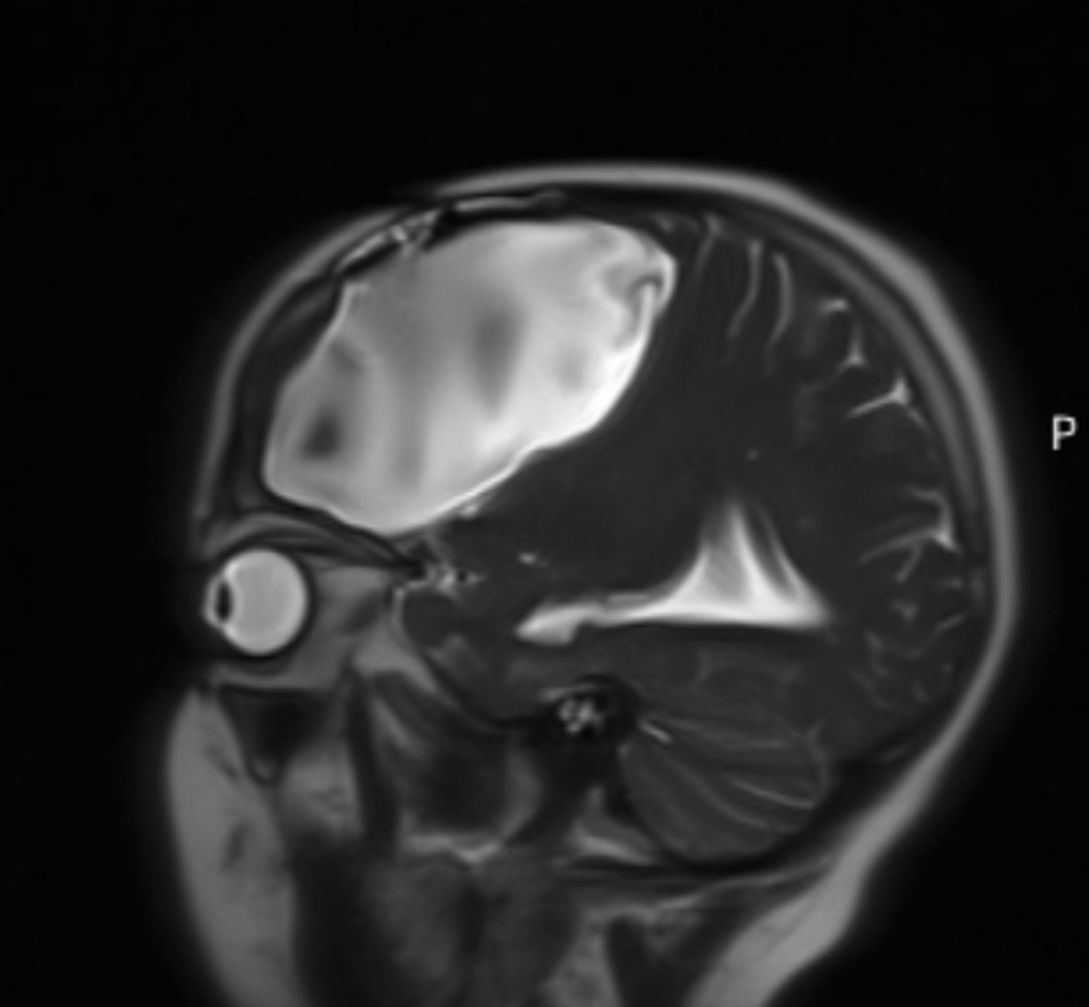
For those who don’t know me, my name is Alice Chawner. I’m 25 years old and I have a grade 4 Astrocytoma.
My diagnosis came unexpectedly during my first year at university, after a fall led to the discovery of what was then a grade 2 tumour.
Between 2021 and 2024, I underwent five surgeries to manage regrowth and infection. Despite this, I was able to continue working and living independently, with stable scans and only occasional seizures.
In March 2025, everything changed. My tumour began growing rapidly and I was offered a trial drug designed for grade 2 Astrocytoma (Vorasidenib). I went through egg retrieval to preserve future options, holding on to hope.
But in June, just as I was due to start the trial, I was told the tumour had progressed to grade 3 or 4 and required immediate, urgent surgery.
I had surgery in July to remove as much of the tumour as possible ahead of radiotherapy. Although the procedure was successful, I became seriously unwell and spent six weeks in hospital. During that time, what was removed had already regrown, and was inevitably confirmed as grade 4.
I then completed 33 rounds of radiotherapy, losing most of my hair and spending much of my time travelling to and from the Royal Marsden in Sutton.
I also tried two cycles of chemotherapy (Temozolomide), which left me bedbound for a week each month. In early February, a scan revealed a new aggressive tumour in a different part of my brain. The chemotherapy had not worked.
I have since undergone a second course of radiotherapy, despite the risks associated with further treatment.
The Royal Marsden and the NHS are the reason I am still here. They have done everything possible to keep me as well as I can be, and I am deeply grateful for their care. But my options are narrowing. What was years to live has now become months, and there are very few established treatments left for me to try.
My family and I have explored alternative treatments and clinical trials. Lots of which I’m sadly not eligible for, A) because of my rare tumour type, and B) they require more time than I am likely to have.
So,I am raising funds to give myself options. I am researching further trials (which are of course, extremely expensive), as well as therapies that may improve both the length and quality of my life - including supportive treatments designed to help me stay stronger for longer. This isn’t about extravagance, it’s about access to possibilities that are not routinely available.
I am determined to keep fighting. I am not ready to stop. What I want most is more time - with my friends, with my family - and if there are treatments that could offer even a little more of that, I want the chance to try.
I am incredibly grateful for any support you feel able to give. If you’re not in a position to donate, sharing my story would mean just as much. Greater awareness and research are urgently needed for this disease. And If I no longer need the funds, every remaining penny will be donated to Brain Tumour Research.
Thank you to my friends and family for standing beside me through everything. I could not have done this without you.
And thank you to the Royal Marsden for your care, expertise and dedication. I would literally not be here without you.
With lots of love,
Alice Chawner
xxx
If you have a senior medial, academic, or research expertise that could open doors, please reach out directly.
The therapies I am looking into:
Immunotherapy vaccines in Germany
Optune treatment
Hyperbaric oxygen chambers
Red light therapy
Microcurrent devices
Advanced geno-sequencing
Organizer
Alice Chawner
Organizer






