- C
- Y
- A
Ayúdame a Vencer el Dolor Crónico: Cirugía para Quiste Aracnoideo y Malformación de Chiari
Hace cuatro años, mi vida cambió drásticamente. Con apenas 17 años, desperté un día con un dolor de cabeza que nunca desapareció. Lo que comenzó como una simple cefalea evolucionó, sumando dolores y fasciculaciones en mi cara, cuello y espalda, pitidos persistentes en los oídos y problemas de visión.
En 2021, tras un ingreso hospitalario y múltiples pruebas, los médicos solo identificaron un "pequeño quiste", asegurándome que no debía preocuparme. Durante los siguientes años, probamos al menos seis medicamentos diferentes además de: inyecciones de botox, bloqueos occipitales y tripatanes, sin resultados.
Cómo afecta mi vida diaria
Aunque puedo realizar mis actividades cotidianas, lo hago luchando constantemente contra el dolor. Este malestar afecta mi concentración, y mi capacidad de disfrutar actividades sociales. Los días malos me dejan prácticamente incapacitado.
Pese a todo, trato de mantenerme en forma física y mantener hábitos saludables cuando el dolor me da tregua. He explorado alternativas complementarias: dietas especiales, ejercicio, control postural, técnicas psicológicas y fisioterapia, pero sin mejoras significativas. La sensación de impotencia al intentarlo todo sin obtener resultados ha sido una de las partes más difíciles de este proceso.
El descubrimiento que cambió mi perspectiva
Investigando, descubrí numerosos testimonios de personas con síntomas idénticos que mejoraron tras la cirugía, pero solo después de encontrar especialistas adecuados.
Existen enormes discrepancias entre médicos sobre cómo proceder en estos casos. Aunque en el sistema público es técnicamente posible solicitar segundas opiniones, el proceso es complicado y burocrático. Además, es prácticamente imposible elegir a un neurocirujano específico, lo que te limita a ciertas opiniones. Por eso acudí al sistema privado, invirtiendo mis ahorros para encontrar un profesional con experiencia específica. En tratamientos que involucran el cerebro, la confianza en el neurocirujano resulta fundamental.
La solución encontrada
Después de consultar con varios especialistas, encontré a un neurocirujano experimentado que ha identificado no solo el quiste aracnoideo, sino también una malformación de Chiari: un descenso de las amígdalas cerebelosas por el canal espinal.
El especialista ha sido completamente transparente conmigo: no hay garantías absolutas de éxito y existe incertidumbre sobre los resultados. Sin embargo, se trata de una operación generalmente bien tolerada, con una tasa de complicaciones relacionadas con la cirugía de aproximadamente un 20%. Habiendo agotado todas las demás opciones, y tras evaluar cuidadosamente riesgos y beneficios, considero que esta cirugía es mi mejor oportunidad para mejorar mi calidad de vida.
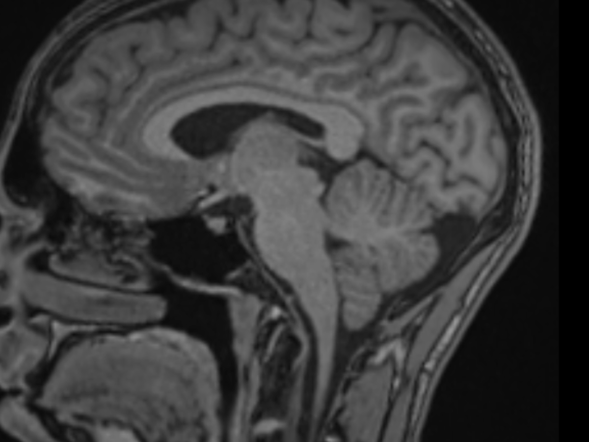
El quiste aparece como el saco oscuro detrás del cerebelo en la primera imagen y como el saco blanco en la segunda. Se aprecia también el descenso de las amígdalas cerebelosas a lo largo del canal espinal.
En que consiste la operacion
La intervención reconstruye la fosa posterior comenzando por retirar un segmento de cráneo (unos 3 cm) en la región occipital, luego se extirpa el quiste y se liman las irregularidades de la primera vértebra cervical (C1); finalmente, se refuerza la apertura con un parche de duramadre, lo que amplía el espacio suboccipital, restablece el flujo del líquido cefalorraquídeo y evita la compresión del cerebelo.
El costo total del tratamiento asciende a 14.000€:
-Que incluye:
- Honorarios del equipo quirurgico
- Preoperatorio
- Estancia en planta : 4 días
- Estancia Uci: 24 Horas
- Materiales y medicacion
- Honorarios anestesia etc
-Seguro por posibles complicaciones 30 dias
Este monto excede por completo mis posibilidades económicas actuales; incluso destinando todos mis ahorros, aún necesitaría reunir la diferencia restante, correspondiente al objetivo señalado.
Cómo puedes ayudar
Cualquier ayuda para recuperar mi salud seria invaluable. Cada donación será destinada íntegramente a cubrir estos gastos médicos. Me comprometo a mantener actualizaciones regulares sobre mi progreso y el uso de los fondos.
Compartir esta campaña también es una forma importante de apoyo. Cada compartido multiplica la visibilidad 2.5 veces y me acerca a la posibilidad de vivir sin este dolor constante.
Gracias por tu tiempo y consideración en este momento crucial de mi vida.
♠️❤️
INGLES
Help Me Overcome Chronic Pain: Surgery for Arachnoid Cyst and Chiari Malformation
Four years ago, my life changed dramatically. At just 17 years old, I woke up one day with a headache that never went away. What started as a simple headache evolved, adding pain and twitching in my face, neck, and back, persistent ringing in my ears, and vision problems.
In 2021, after being submitted to the hospital and multiple tests done, doctors only identified a "small arachnoid cyst in the posterior fossa," assuring me that I shouldn't worry. Over the next few years, we tried at least six different medications, including Botox injections, occipital blocks, and Tripathan, with no results.
How It Affects My Daily Life
Although I can carry out my daily activities, I do so constantly battling the pain. This discomfort affects my concentration, and my ability to enjoy social activities. Bad days leave me practically incapacitated.
Despite everything, I try to stay physically fit and maintain healthy habits when the pain gives me a break. I've explored complementary alternatives: special diets, exercise, postural control, psychological techniques, and physical therapy, but without significant improvement. The feeling of helplessness after trying everything without results has been one of the most difficult parts of this process.
The discovery that changed my perspective
Through research, I discovered numerous testimonials from people with identical symptoms who improved after surgery, but only after finding suitable specialists.
There are enormous discrepancies among doctors about how to proceed in these cases. Although it is technically possible to request second opinions in the public system, the process is complicated and bureaucratic. Furthermore, it is practically impossible to choose a specific neurosurgeon, which limits you to certain opinions. That's why I turned to the private system, investing my savings to find a professional with specific experience. In treatments involving the brain, trust in the neurosurgeon is essential.
The solution found
After consulting with several specialists, I found an experienced neurosurgeon who identified not only the arachnoid cyst but also a Chiari malformation: a prolapse of the cerebellar tonsils into the spinal canal.
The specialist was completely transparent with me: there are no guarantees of success, and there is uncertainty about the results. However, it is generally a well-tolerated operation, with a surgery-related complication rate of approximately 20%. Having exhausted all other options and carefully evaluating the risks and benefits, I consider this surgery my best opportunity to improve my quality of life.
Operation Overview: Posterior Fossa Decompression and Reconstruction
The procedure reconstructs the posterior fossa by first removing a roughly 3 cm segment of occipital bone, then excising the cyst and smoothing the first cervical vertebra (C1). Finally, a dural patch is applied to reinforce the bony opening, thereby expanding the suboccipital space, restoring normal cerebrospinal fluid flow, and preventing cerebellar compression.
The total cost of the treatment is €14,000(guideLine):
- Surgical team fees
- Pre-operative
- Ward stay: 4 days
- ICU stay: 24 hours
- Materials and medications
- Anesthesia fees, etc.
- Insurance for possible complications 30 days
This amount is completely beyond my current financial means.
How You Can Help
Any help to regain my health would be invaluable. Every donation will go entirely to cover these medical expenses. I pledge to provide regular updates on my progress and the use of the funds.
Sharing this campaign is also an important form of support. Each share increases the visibility by 2.5 times and brings me closer to the possibility of living without this constant pain.
Thank you for your time and consideration at this crucial time in my life.
♠️❤️

