- T




May 7: THANK YOU ALL FOR YOUR SUPPORT! I will be capping donations once we've hit the $3,000 goal. If you are feeling called to action after that, please take that positive generosity and consider donating to the many other causes that require our help at this time. It's so inspiring to see how giving a community can be.
---
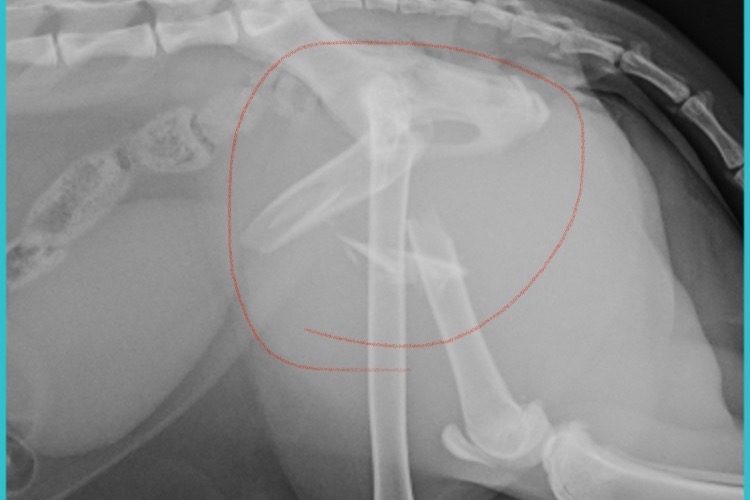
On Saturday night, my dear feline companion Lulu came home with a pained limp. I took her to the vet, who discovered her femur was broken in four places. Lulu had been hit by a car. Her elevated heart rate indicated she was already in agony and would need surgery right away. The vet assured me that Lulu would see a full recovery, but post op treatments, medication and future examinations will put the total cost around $3500. I broke the bad news to my landlord, a senior I share Lulu with. It became apparent that neither of us could afford this emergency expense -- and he regretfully suggested that putting Lulu down was our only option. I couldn't bear the thought; it's just a broken limb and Lulu is more than just a cat. She’s my pal out in the garden, my mouser, and my bodyguard when I leave the house for walks. When I need comfort, she’s right by my side. I couldn't possibly leave hers at this time.
Lulu underwent surgery Tuesday night and I'm happy to report that it was a success. I don't have any regrets saving her, but the costs are now mine alone to bear and I humbly ask for your help. I am a recent graduate working part time in healthcare and my wages can't cover this unexpected cost. I realize we are all going through a very difficult time emotionally, financially, and spiritually. I would never expect anyone to give from what they have worked so hard to earn, but all I can do is ask and hope for the best. Please, if you are able to help, every bit counts and is very much appreciated. Thank you for your support as I try to be there for my Lu in her time of need.

