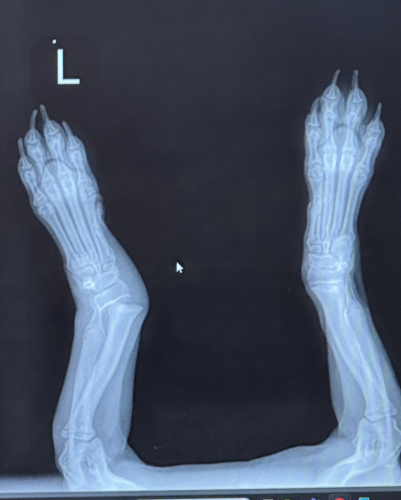
My 4-month-old puppy Leia was accidentally injured and broke her front left leg. She now urgently needs growth plate surgery, which is something I truly cannot afford on my own. Right now, she’s in a cast that needs to be changed every 3–4 days, and the expenses are adding up so fast. I’m trying everything I can to help her. If Leia doesn’t get this surgery, she could live the rest of her life in severe pain, develop limb deformities, or even lose her leg. I don’t want that future for her.
Leia is such a happy, playful puppy who loves to run around, and it’s heartbreaking seeing her stuck in bed all day, unable to move like she used to. She doesn’t understand why she can’t play anymore, and it’s been so hard to watch. I just want her to live a normal, pain-free life. Anything helps, whether it’s a donation or even just sharing this. Thank you so much for taking the time to read Leia’s story.
Leia is such a happy, playful puppy who loves to run around, and it’s heartbreaking seeing her stuck in bed all day, unable to move like she used to. She doesn’t understand why she can’t play anymore, and it’s been so hard to watch. I just want her to live a normal, pain-free life. Anything helps, whether it’s a donation or even just sharing this. Thank you so much for taking the time to read Leia’s story.




