Help Lance Brown After Two Brain Surgeries

  • J
19 donors
0% complete

$1,750 raised of $150K

Help Lance Brown After Two Brain Surgeries

Donation protected
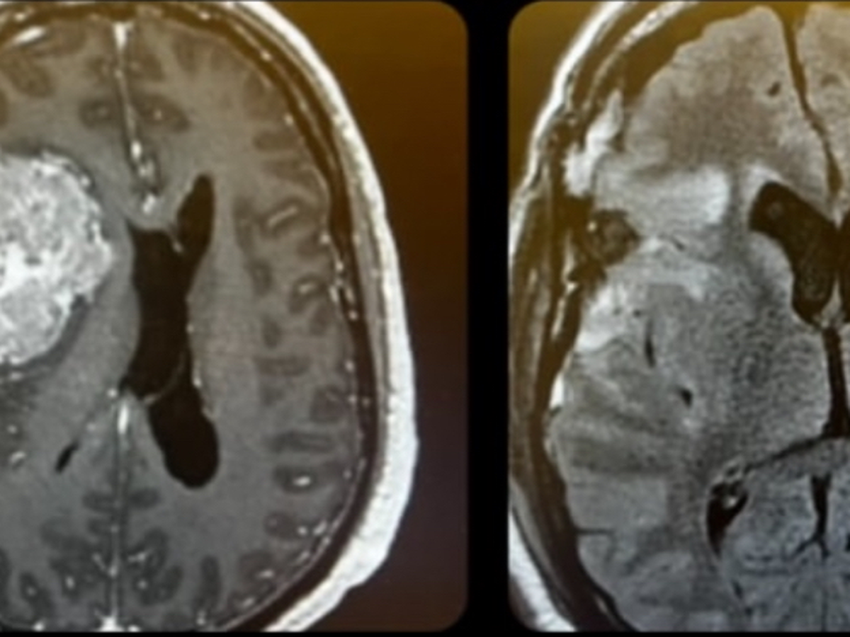
My name is Lance. I am a certified public school math teacher. I've worked in the public school for the past 13 years. I have a caring family and a partner who's been by my side ever since the first of two brain surgeries.

 The first surgery, on December 19, removed the tumor that you'll see in the pic. It took up about a fourth of my brain and pushed it over, causing a CSF leak, which was repaired on January 30 during the second surgery. I am very lucky and grateful to be alive and to be able to function on my own, under the circumstances.

Now I must deal with the reality that the surgeries are not free, and it's going to cost my family a great deal, even with health insurance. Anything you can do would help, and if you'd be willing to share this with family and friends, it would mean the world to us. Anything helps. I thank you from the bottom of my heart.

Namaste
 Please Share https://gofund.me/80a07a95

Organizer

Lance Brown
Organizer
Seattle, WA
  • Medical
  • Donation protected

Your easy, powerful, and trusted home for help

  • Easy

    Donate quickly and easily

  • Powerful

    Send help right to the people and causes you care about

  • Trusted

    Your donation is protected by the GoFundMe Giving Guarantee