We are the Casinelli Family and we are being faced with some very significant and fragile medical challenges (once again) that will be hugely impacting our 16-year-old daughter, Laila, and her future.
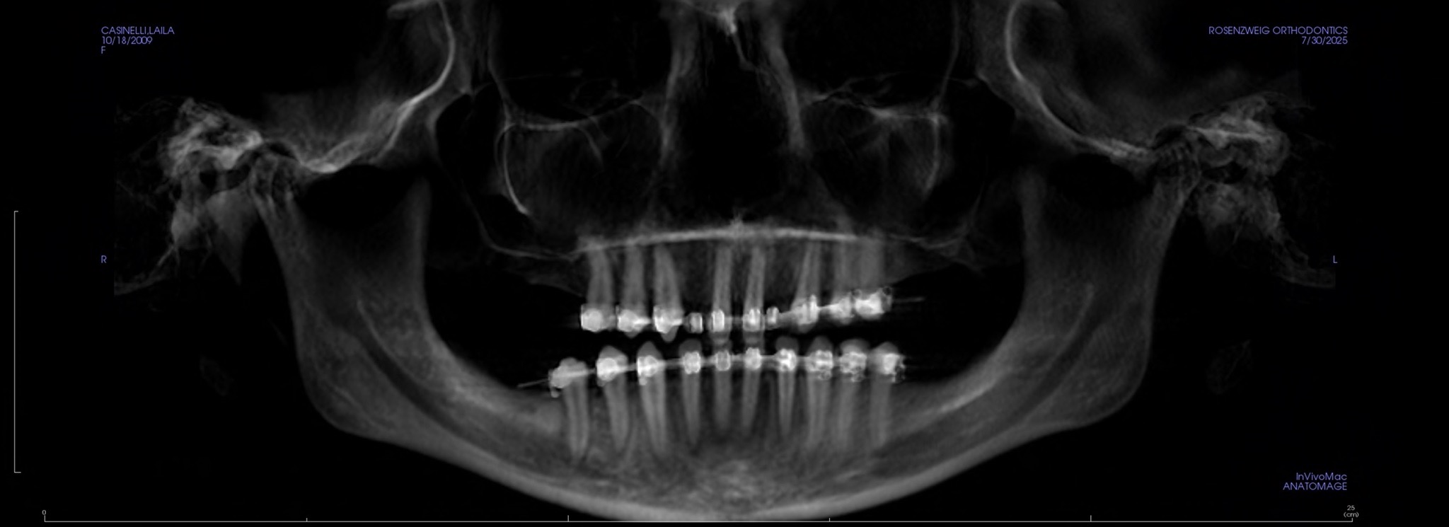
We were informed a few years ago that our daughter Laila is missing “14 permanent adult teeth” they just never came in. It is quite the anomaly and we are told by many specialists that she has a very unique situation and that this is not something that they have ever seen before or even see on a regular basis.
The diagnosis that they have so far given her is “Microdontia” a condition which the few teeth that did come in are abnormally small and not functional along with “Ogliodontia” being born without one or more permanent teeth (in her case 14 are missing). In conjunction with all the work that will need to be done to restore all of her teeth she will also be needing to undergo two extremely invasive surgical procedures, crown lengthening of the bone and enamel of her full mouth (removal of gums - scheduled in November 2025) and Mandibular advancement surgery a significant procedure where they will need to reconstruct her jaw due to certain abnormalities she was born with. There is also some speculation that she may possibly have a genetic disorder, called Pierre Robbin Sequence or Ehlos Danlos Syndrome and we are currently working with a Genetic Doctor to investigate all of this as well. The magnitude of all of this is daunting.
We started navigating the process of figuring out a treatment plan for her in 2019, but then Covid hit, so we had to put it on the back burner. We then tried to get the ball rolling again in 2022, but then Kim was diagnosed with cancer, so again we were forced to hold off helping Laila.
In 2023, we began the process once again and started interviewing and consulting specialists to try to build the best possible team and best course of action for our daughter. Knowing that it was going to be a huge mountain to climb and a lot to tackle yet we truly had no idea that the magnitude of this was going to be so immense. Because her situation is is so rare we hadn’t been well informed until now what the “FINAL”treatment plan was going to look like. The specialists here in Bend who are handling our situation have also been presenting Laila’s case to the Kois Institute in Seattle (one of the most advanced dental schools in the country) to further discuss how to handle the complexity of this medically fragile and unique situation.
One of the main issues we are faced with is that due to several sudden unexpected job losses for Tim since Covid and a volatile job market our medical Insurance has dissipated over the past couple of years and unfortunately after going around in circles with multiple different Insurance Companies it has been nearly impossible to find any companies that will view this a “Medical Necessity” and not a “Dental Necessity” so coverage is ZERO/NON-EXISTENT.
Nevertheless we have been navigating the beginning stages (PHASE 1) of what’s going to be many, many years of reconstruction and restoration of Laila’s mouth, jaw and teeth. The timeline was on a stand still for a while because they were waiting for her skull to fully develop so we are now at the point of being able to move forward. It is unfortunate to have to do all of this during her formative High School years but we just don’t have much of a choice and don’t want to prolong it as she has already been feeling the effects of not having a “normal” smile or a “functional” mouth to be able to chew food etc.
We have just been presented with the proposed sequence of treatment and out-of pocket costs to us which will be approximately $75,000 when all is said and done of Phase 1 and Phase 2 (see breakdown below). On top of this we are also trying to find out what the underlying cause is for her disorder which has also been extremely difficult to identify yet we will continue to do the work to uncover this.
Until now we have been unclear as to what everything was going to look like, and have been trying to just put all the pieces of this massive puzzle together and because we no longer have proper medical insurance, it has been very challenging to make a case and try to submit claims anywhere.
Laila is an extremely happy and positive young lady who doesn’t let any of these obstacles stop her from singing and performing on stage as her passion for Theater is strong! We hope to help her through this difficult journey with as much ease as possible so that she is able to continue her passions with grace but we are just not able to do it alone. Having a functional mouth (teeth/jaw) is so important for eating, speaking, singing and just quality of life, and the depth of this is immense and the end goal feels very lost to us right now.
Laila is truly dedicated to her future, our hope and wish for her is that she can feel good about herself as she continues to go through her young life and know that she doesn’t look strange or different and that she is able to have a normal and functional mouth/jaw/teeth someday when this is all said and done so that she is able to confidently shine her smile brightly on and off stage and have this all behind her while she is going through life. We just want her to be able to chew her food without any risk of choking or having to spit her food out while she is eating, the constant and painful locking of her jaw and severe migraines which all happens on a daily basis right now for her and that she will be able to have a future that doesn’t entail more than she’s already going to have to endure medically.
We are eternally grateful for any support provided to help make sure that the quality of her life will match the amount of passion she will be dedicating to put in to achieve her goals. These procedures will be life-changing for her, we appreciate all of your support and thank you from the bottoms of hearts. We are just moving another mountain.
Here is breakdown of her proposed sequence of Treatment for only PHASE 1 beginning now:
- Orthodontic tooth movement to create adequate space - past 2 years ($6500 PAID)
- Orthodontic braces removed - temporary retainer with fake teeth attached ($3000 out of pocket now)
- Upper and lower arch surgical crown lengthening to expose all enamel of teeth ($8,450 out of pocket now)
- Restoration of all teeth to ideal anatomical size ($15,300 out of pocket now)
- Continued Orthodontic work - Braces put back on for second time to align teeth and close spaces ($6500 out of pocket now)
PHASE 2 - Next 2-5 years (final proposed cost breakdown tbd):
- Complete Implant placement when skeletal growth is complete
- Palatal Expansion / Mandibular Jaw Advancement Surgery
- Final restoration of ALL teeth (full mouth)
• IMPORTANT •
As we have moved deeper into this process, our path forward has become far less linear than we ever anticipated. Due to the extreme rarity and complexity of Laila’s condition, we have received vastly different—and sometimes conflicting—opinions from specialists across the country. Each expert brings a different perspective, treatment philosophy, and sequencing recommendation, many of which contradict one another in significant ways. As a result, our proposed plan of care has continued to evolve and shift as new information, insights, and risks are uncovered.
At this moment, we find ourselves in a necessary standstill—not from lack of urgency, but from an abundance of caution. We are carefully reviewing all professional input, re-evaluating sequencing, and weighing long-term outcomes to ensure that we do not make irreversible decisions that could negatively impact Laila’s future. Until greater consensus is reached and medical clarity improves, forward motion must be thoughtful rather than rushed. We remain committed to transparency and will continue to share updates as we navigate this uncertain and ever-changing terrain.


