- C
- C
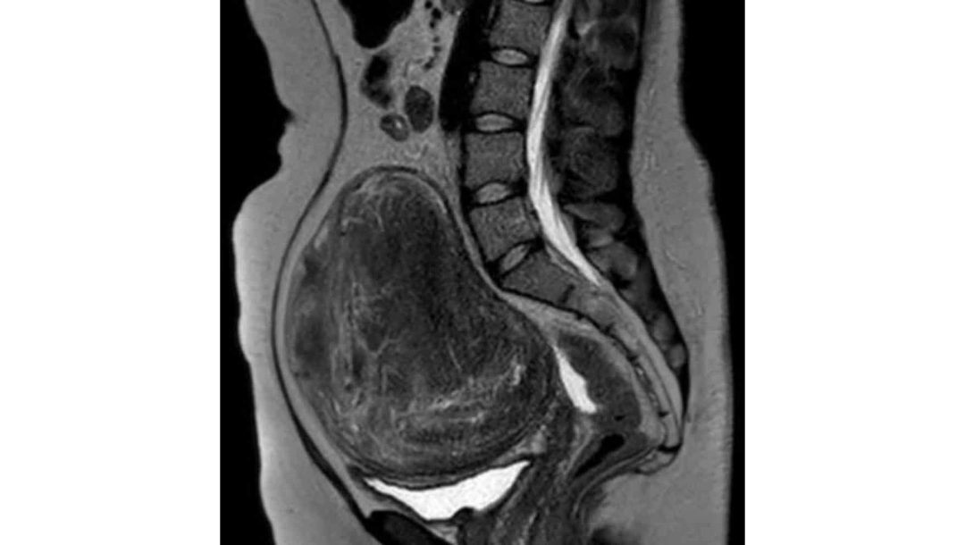
Kimber had successful surgery to remove an extremely large uterine fibroid on July 25th.
“I've had symptoms for roughly ten years with physically obvious (could see a bump in my abdomen) symptoms for two years.
I saw around six different doctors in three states before I was taken seriously and by then it was big and growing rapidly.
All of the tumors were fused together into one massive piece that weighed twenty times a normal uterus and spread front to back and around the side.“
While the hospital bills are not all finalized, this amount will help cover the bills and the six weeks which Kimber will be out of work recovering.
Thank you so much!!
Organizer and beneficiary
Kimber Starnes
Beneficiary

