- L
- E

On August 1st, 2025, I was diagnosed with high-grade Osteosarcoma in my right femur. Osteosarcoma is a rare and aggressive type of bone cancer that requires intensive chemotherapy, limb-sparring surgery, and sometimes radiation therapy. This news came as a complete surprise, just two weeks after my 33rd birthday, and hit me like a freight train.
In the couple months leading up to my diagnosis I had slowly been developing soreness and tightness in my right hip flexor and quadriceps. Naturally I attributed this pain to overuse as throughout the spring I had been working full-time as the assistant manager at the local animal shelter, serving beer and pizza a couple nights a week, teaching swiftwater rescue courses, growing mushrooms for the farmers' market, and mountain biking and hiking throughout Southern Utah. At this point the pain was still manageable but persistent, so I visited my local chiropractor. With a couple of fresh stretches and exercises in my pocket I loaded up the truck with my bike and my dog Psy and headed to New Mexico for some good ole 4th of July fun at the Taos Ski Valley and Angelfire mountain bike parks.
Throughout July after I returned from Taos the pain and swelling continued to progress, and it felt like I had a giant knot in my inner quad. I went to see my local doctor for a physical therapy referral, and he prescribed me a 10-day course of steroids. With no improvement after the steroids, I went back to see my chiropractor. He was immediately red flagged by the progression of my symptoms over the month and recommended that I have images taken ASAP. At this point the pain had gotten so severe at times that I often could not stand, walk, or sleep and my right thigh was swelling to an alarming size.
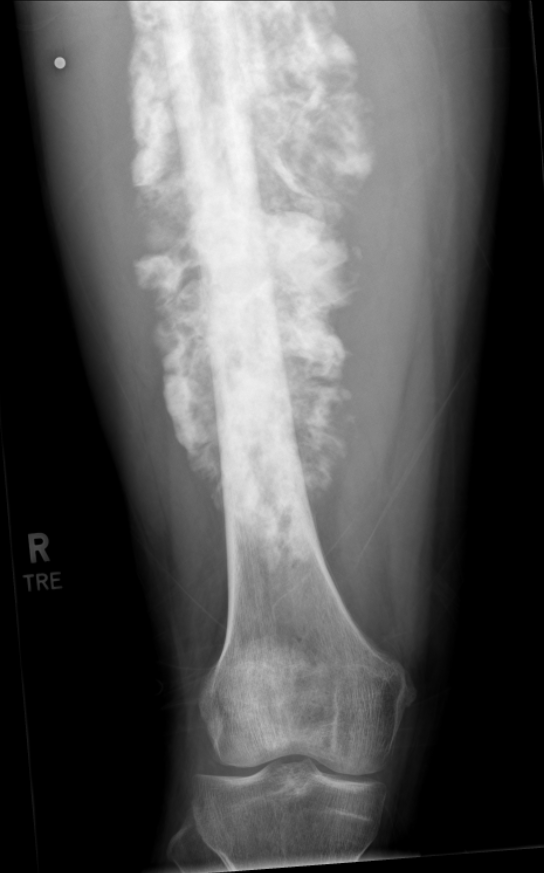
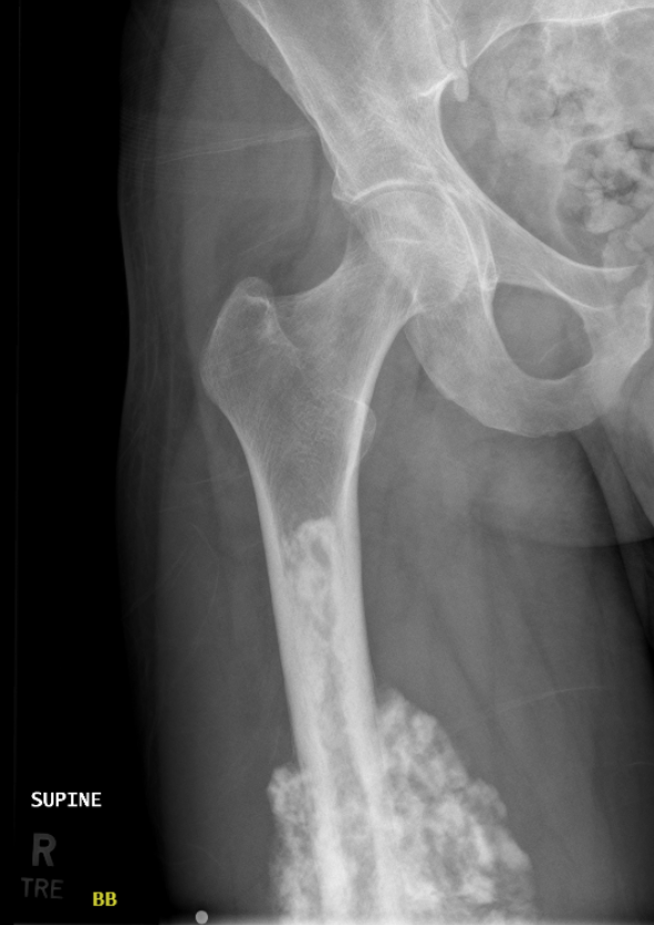
The preliminary x-rays showed visible cloudiness around my femur, an indicator of bone cancer, which prompted a frightening response by the doctors and I was referred to a team of Oncologists with the Utah Cancer Specialists. In the following two weeks I had an MRI, full-body PET scan, chest and abdomen CT scan, heart ECHO, and a bone biopsy. The bone biopsy came back positive for high-grade Osteosarcoma and in less than a week I had an IV port installed in my chest and was scheduled for chemotherapy.
Osteosarcoma has a very aggressive nature and can rapidly metastasize to the lungs. Thankfully all of my scans showed that the cancer was localized to my leg, which greatly increased my prognosis of having a positive outcome, however the cancer had already spread through 12 inches of my femur and the surrounding soft tissue. With my life literally on the line I had no time to spare and started my first round of chemotherapy on August 26th, 2025.
Osteosarcoma requires what is called the MAP chemotherapy regimen and is a combination of the drugs Methotrexate, Doxorubicin (The Red Devil), and Cisplatin administered over the course of a 35-day cycle. As I am writing this, I have just completed chemo cycle 2, will be having surgery after chemo cycle 3, and will need to complete 6 total cycles of chemotherapy. Clinically speaking, the chemo seems to be working as it has almost completely cut out the pain and swelling. My most recent MRI in preparation for surgery shows that the tumor itself is the same size, but my lungs are still clear! This means the chemotherapy might not necessarily be shrinking the tumor, but it has stopped the cancer in its tracks for now, which is relieving news.
Overall, I am doing well considering the intensity of the chemotherapy, but the side effects have been difficult to manage to say the least and include extreme fatigue, loss of appetite, indigestion, mouth and throat blisters, and a heavy brain fog that feels like a severe concussion. During the low points I’ve just been trying to remind myself that the side effects are a small price to pay in exchange for decades more of life to come when I win the battle.
Unfortunately, this diagnosis and battle comes with a daunting financial burden that could take me years to recover from. My state health insurance plan has a high out of pocket maximum that I will need to meet for both 2025 and 2026, and my medical bills seem to be flowing in faster and faster. I have been continuing to work as much as my physical and mental state will allow, but soon I will need to take an extended leave of absence from work to recover from surgery. My doctors have yet to tell me how extensive of a surgery I am looking at facing, but the surgeon will need to remove any portion of my femur that is cancerous. I will know more of these details in the coming weeks, and I will admit that the fear of the unknown of what the outcome will be for my leg is more frightening than the chemotherapy itself.
I am asking for financial assistance to help to get me through this extremely challenging speedbump. Any donation large or small, or even sharing my story with your friends and family, will be greatly appreciated and will help ease this financial burden and allow me to focus on my mental, physical, and spiritual health and come out the winning side as healthy as possible. As you can imagine this is a very overwhelming time for me and I do not always have the mental capacity to respond to everyone, however, please know that I am forever thankful for your help!
I am beyond grateful to be surrounded by such a strong family support system and I truly would not be able to fight this battle alone. Cancer sucks but I am determined to fight the battle and come out the other side stronger than ever! Thank you for your support as I navigate these confusing and difficult times.






