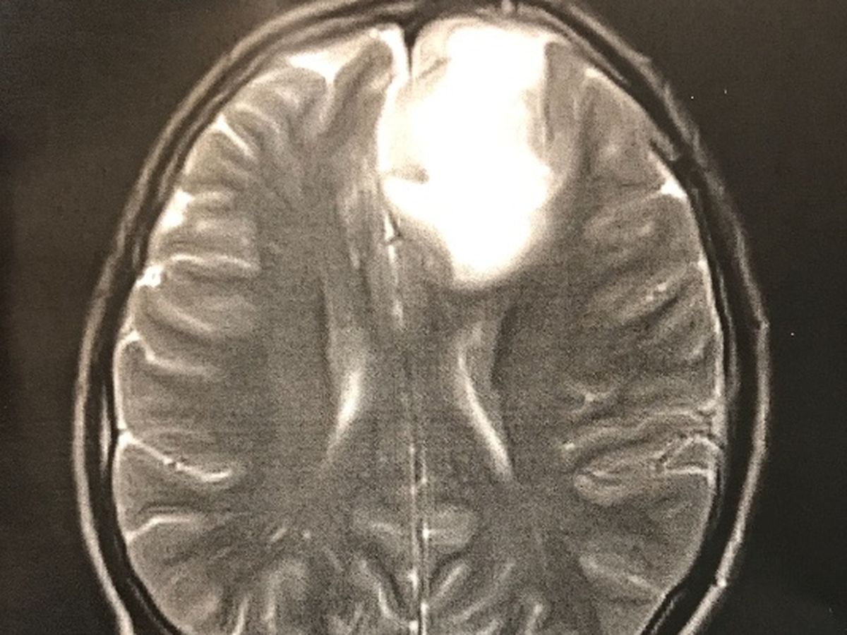
I am starting this for my brother Josh. When Josh was 9 years old he was diagnosed with Type 1 diabetes. He has been in and out of the hospital his whole life. He struggles daily with neuropathy and dealing with his blood sugar. But my brother has always been hard working even when he is in a great deal of pain and would give anyone the shirt off of his back. But last week, things changed. On September 29th, Josh had two seizures back to back while he was at work. He was taken by ambulance to Freeman Hospital in Joplin. There we found out what was causing the seizures. It is a brain tumor. That was the scariest phone call I’ve ever received. Josh will have surgery on October the 10th to have the tumor removed. At this point, they do not think it is cancer. THANK YOU JESUS! But it will be sent off so we will know for sure know what it is and what is causing it after it has been removed. Right now Josh is unable to work and will be unable to work after the surgery for quite some time. I’m starting this campaign to help with his medical expenses, back and forth trips to the Drs and his bills he is unable to pay while he is not working. Most of all, we just want prayers. Prayers that the tumor is 100% not cancer! Prayers that he makes it through the surgery without any complications, and prayers that his recovery is smooth, so he can go back to being a 23 year old young man living his life. But if you can donate, even a $1, I know he would appreciate it. Thank you all for all of the love you have shown us already. Please keep the prayers coming, we appreciate it more than you know. We love Josh so incredibly much and just want to see him well and living his life. Thank you.


Organizer
Hali Marshall
Organizer
Mountain View, MO

