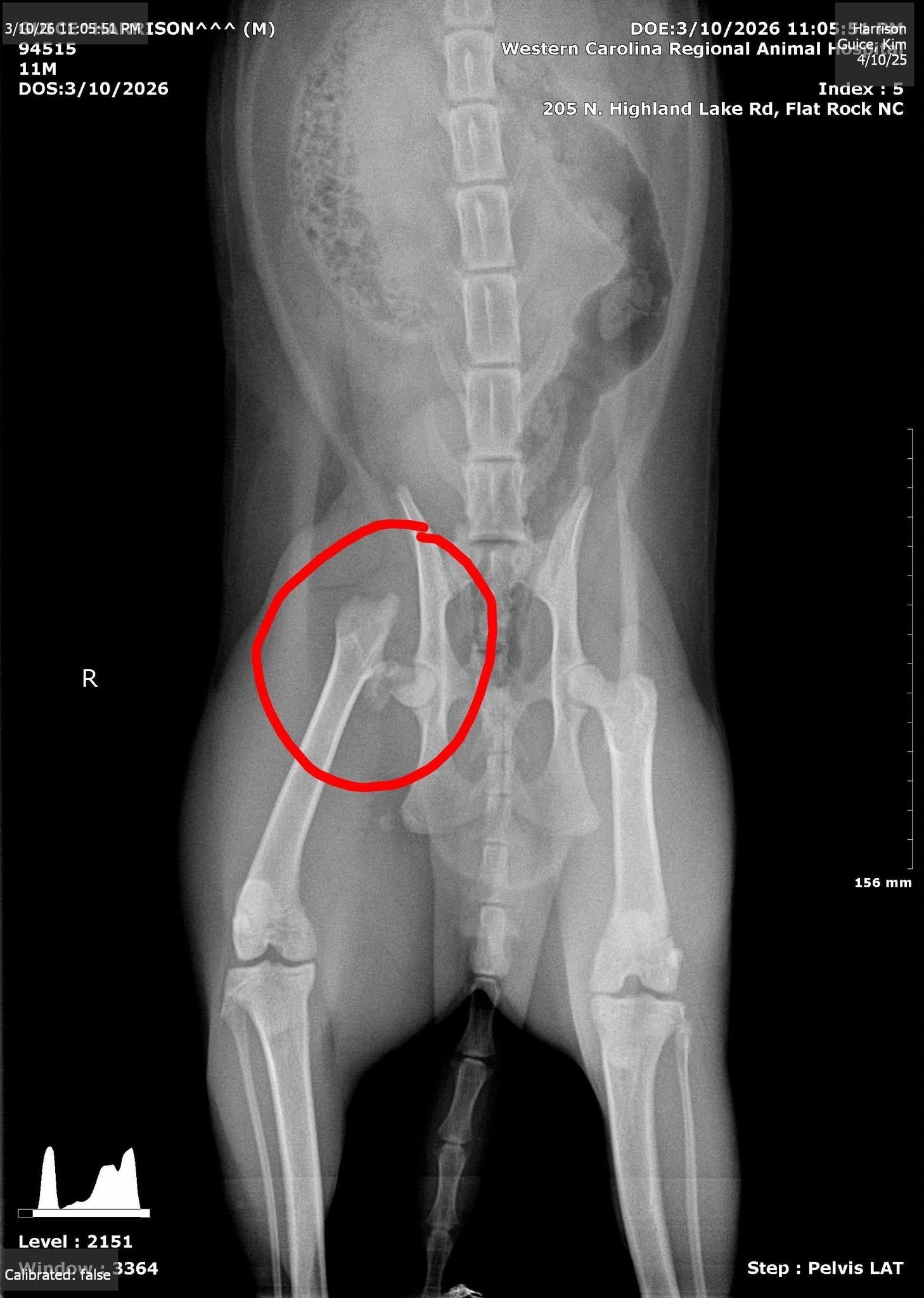
Harrison is an active, happy go lucky, and sweet natured boy who has always brought so much joy into our lives. Recently, Harrison suffered a broken femur, and it has been heartbreaking to see him in pain and unable to move around like he used to. He means the world to us, and seeing him struggle has been incredibly difficult for all of us.
The funds raised through this campaign will go directly toward Harrison's surgery, which is essential for his recovery and to help him get back to his playful, loving self. Every contribution, no matter the size, will make a real difference in his journey to healing. Your kindness and support will help cover the costs of his medical care and give him the best chance at a full recovery.
We are grateful for any help at all, whether it's a donation or simply sharing our story. Thank you for taking the time to read about Harrison and for considering supporting us during this challenging time. Your generosity and compassion mean everything to us.
The funds raised through this campaign will go directly toward Harrison's surgery, which is essential for his recovery and to help him get back to his playful, loving self. Every contribution, no matter the size, will make a real difference in his journey to healing. Your kindness and support will help cover the costs of his medical care and give him the best chance at a full recovery.
We are grateful for any help at all, whether it's a donation or simply sharing our story. Thank you for taking the time to read about Harrison and for considering supporting us during this challenging time. Your generosity and compassion mean everything to us.





