My name is Leonardo Clifford. I am 24 years old, and bull riding has been my passion and my way of life for as long as I can remember.
I grew up loving the cowboy lifestyle, horses,
and the rodeo world. Becoming a bull rider was never just about sport for me — it was about courage, determination, and chasing a dream no matter how difficult the road could be.
Life has not always been easy. I come from a humble background and have had to fight for everything I have. But through hard work and dedication, I always kept moving forward, holding on to the dream of living the cowboy life and riding bulls.
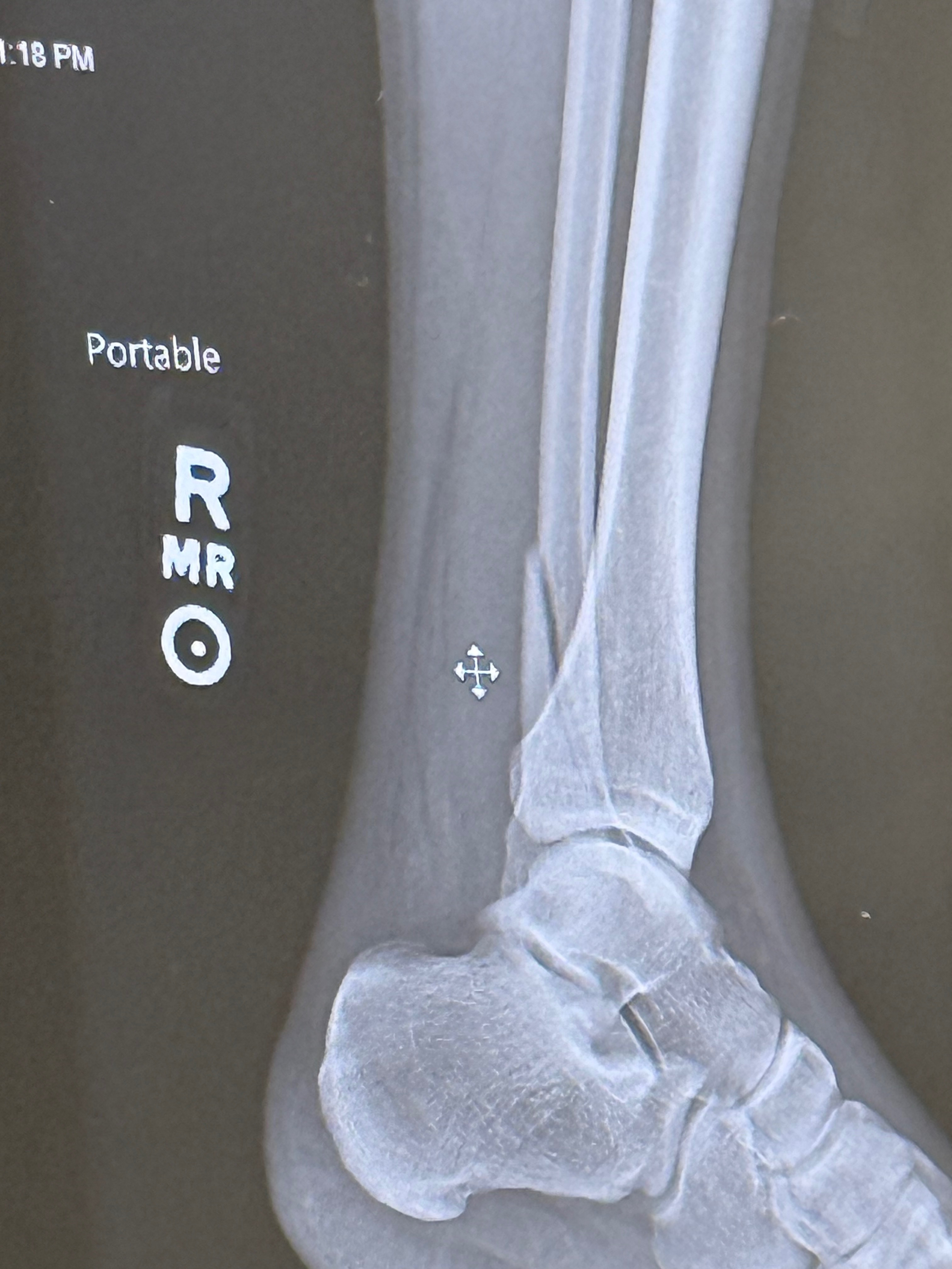
Recently, during a bull riding event, I suffered a serious accident that resulted in a broken ankle. I had to undergo surgery, and now I am in recovery. Unfortunately, this injury has left me unable to work for the time being, which has been very difficult because I have always depended on my own hard work to support myself.
While I recover, I am facing medical expenses and basic living costs without being able to earn an income. Because of this, I decided to humbly create this fundraiser and ask for help from anyone who feels moved to support me during this challenging moment.
Any contribution, no matter the amount, will truly help me get through this difficult time and focus on healing so I can get back on my feet, return to work, and hopefully ride again one day.
If you are not able to donate, sharing this fundraiser would also mean the world to me.
Thank you from the bottom of my heart for your kindness, support, and for believing in my recovery.
Meu nome é Leonardo Clifford. Tenho 24 anos e montar touros é minha paixão e meu estilo de vida desde que me lembro.
Cresci amando o estilo de vida cowboy, os cavalos e o mundo do rodeio. Tornar-me um peão de rodeio nunca foi apenas um esporte para mim — foi sobre coragem, determinação e a busca por um sonho, não importa o quão difícil o caminho pudesse ser.
A vida nem sempre foi fácil. Venho de uma origem humilde e tive que lutar por tudo o que tenho. Mas, com trabalho árduo e dedicação, sempre segui em frente, agarrando-me ao sonho de viver a vida de cowboy e montar touros.
Recentemente, durante uma competição de montaria em touros, sofri um grave acidente que resultou em uma fratura no tornozelo. Tive que passar por uma cirurgia e agora estou me recuperando. Infelizmente, essa lesão me deixou impossibilitado de trabalhar por enquanto, o que tem sido muito difícil, pois sempre dependi do meu próprio trabalho para me sustentar.
Enquanto me recupero, estou enfrentando despesas médicas e custos básicos de vida sem poder obter renda. Por isso, decidi humildemente criar esta campanha de arrecadação de fundos e pedir a ajuda de todos que se sentirem motivados a me apoiar neste momento difícil.
Qualquer contribuição, por menor que seja o valor, me ajudará muito a superar este período difícil e a me concentrar na minha recuperação para que eu possa me reerguer, voltar ao trabalho e, quem sabe, voltar a pedalar um dia.
Se você não puder doar, compartilhar esta campanha também significaria muito para mim.
Agradeço de coração pela sua gentileza, apoio e por acreditar na minha recuperação.






