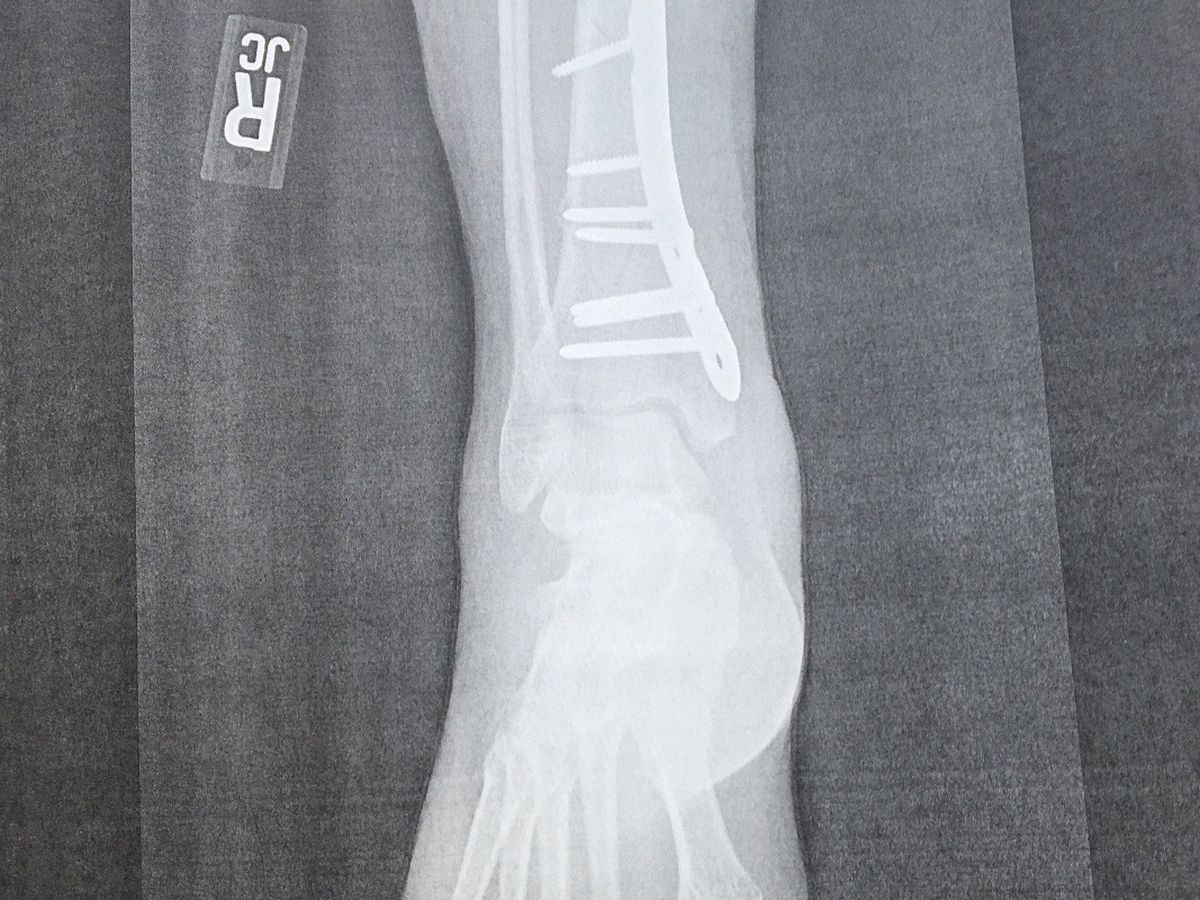
In September of 2019, Jessica was riding her new dirtbike, Tina, on a family trip when she had an unfortunate fall that fractured her tibia/fibula. If you know anything about medicine, you know that Jessica did a *really* good job on this injury.
Since then, Jessica has had several surgeries, the most recent scheduled for today to clean out a bone infection. She has been placed on significant work restrictions, and her employer has been overall unable to accommodate her light duty. She has run out of medical leave compensation though she continues to amass medical bills, including very expensive monthly COBRA payments. Though always very responsible with her money, her reserves have run out.
I've known Jessica, though I have affectionately renamed her Princess Consuela, for years. She has stood by my side through laughter, tears, and everything in between. Her generosity and willingness to do for others is an integral part of who she is. Those who worked with Jessica at SHMC will attest to the sarcastic and witty joy she brings to the lives of her family and friends.
Jessica is unable to return to work for at least the next six weeks following today's (hopefully final) surgery. Not only is she not entitled to her hospital insurance without working a minimum number of shifts, but she is also not eligible for unemployment because she still has a job.
Friends, 2020 has been quite a year. Please, if you have an extra $20 lying around in your sock drawer like me, consider helping out my best friend and lobster, Jessica aka Princess Consuela Banana Hammock.
Since then, Jessica has had several surgeries, the most recent scheduled for today to clean out a bone infection. She has been placed on significant work restrictions, and her employer has been overall unable to accommodate her light duty. She has run out of medical leave compensation though she continues to amass medical bills, including very expensive monthly COBRA payments. Though always very responsible with her money, her reserves have run out.
I've known Jessica, though I have affectionately renamed her Princess Consuela, for years. She has stood by my side through laughter, tears, and everything in between. Her generosity and willingness to do for others is an integral part of who she is. Those who worked with Jessica at SHMC will attest to the sarcastic and witty joy she brings to the lives of her family and friends.
Jessica is unable to return to work for at least the next six weeks following today's (hopefully final) surgery. Not only is she not entitled to her hospital insurance without working a minimum number of shifts, but she is also not eligible for unemployment because she still has a job.
Friends, 2020 has been quite a year. Please, if you have an extra $20 lying around in your sock drawer like me, consider helping out my best friend and lobster, Jessica aka Princess Consuela Banana Hammock.
Organizer and beneficiary
Jessica Stonehocker
Beneficiary

