Dear friends and community,
My name is Mariana Segovia, and I would like to share the difficult situation my son Martin, a nine-year-old boy full of energy and dreams, is currently facing. Recently, he suffered a severe femur fracture due to a twisting injury. Since then, we have been facing a challenging battle.
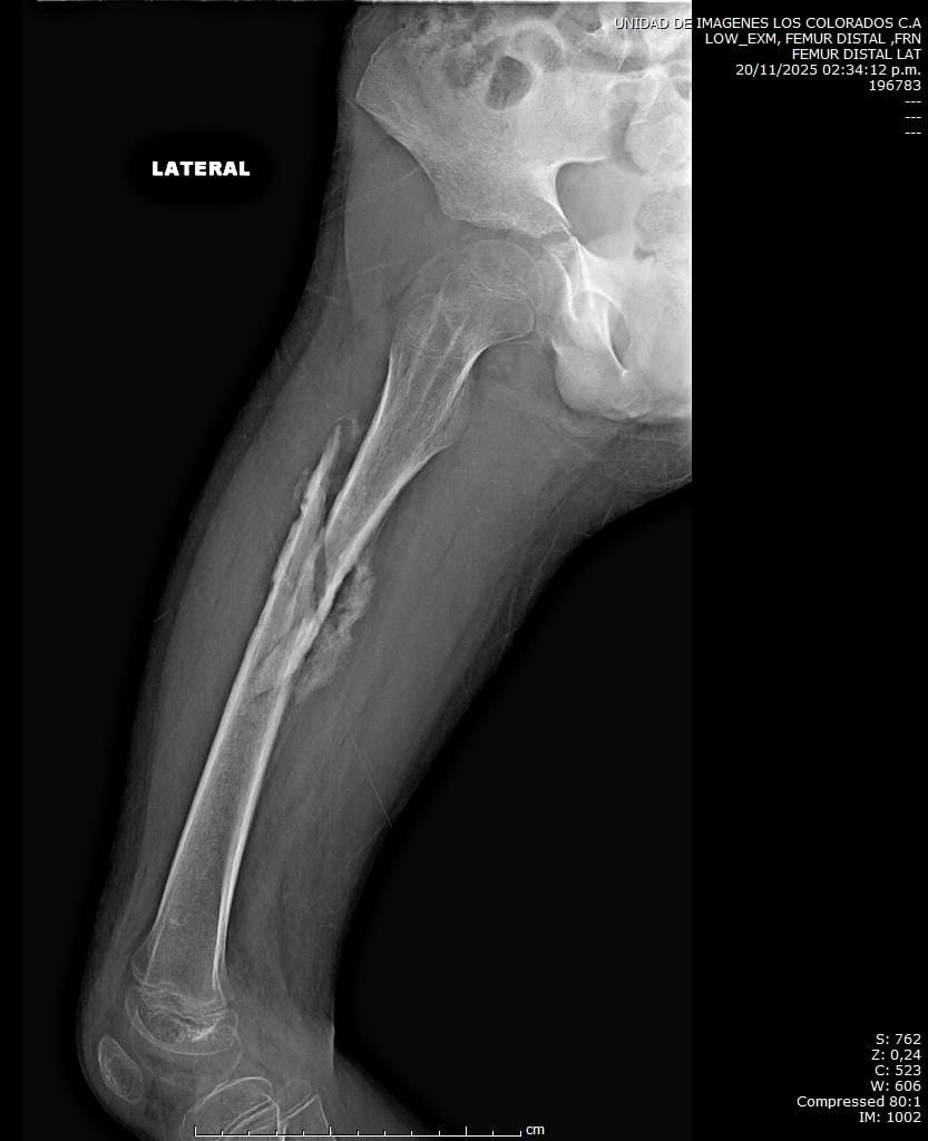
Martin has had to undergo three surgeries. The first two were unsuccessful and, unfortunately, led to a bone infection. In the third operation, the doctors had to remove 7 cm of bone and insert a spacer with surgical cement containing antibiotics to fight the infection, while also ensuring that the necessary space is preserved for future surgeries.
These surgeries have been extremely expensive, and each procedure involves costs that are beyond our means. I am here to ask for your support. Any contribution, no matter how small, will help cover the medical expenses and allow us to provide Martin with the care he needs.
We are deeply grateful for every donation and also appreciate you sharing this campaign with your network.
Estimados amigos y miembros de la comunidad: Mi nombre es Mariana Segovia y me gustaría compartir la difícil situación que atraviesa mi hijo Martín, un niño de nueve años lleno de energía y sueños. Recientemente, sufrió una fractura grave de fémur debido a una lesión por torsión. Desde entonces, hemos estado librando una dura batalla. Martín ha tenido que someterse a tres cirugías. Las dos primeras no tuvieron éxito y, lamentablemente, derivaron en una infección ósea. En la tercera operación, los médicos tuvieron que extirpar 7 cm de hueso e insertar un espaciador con cemento quirúrgico que contiene antibióticos para combatir la infección, asegurando al mismo tiempo que se conserve el espacio necesario para futuras intervenciones. Estas cirugías han sido extremadamente costosas y cada procedimiento implica gastos que superan nuestras posibilidades. Les pido su apoyo. Cualquier contribución, por pequeña que sea, nos ayudará a cubrir los gastos médicos y a brindarle a Martín la atención que necesita. Estamos profundamente agradecidos por cada donación y también les agradecemos que compartan esta campaña con sus contactos.






