- J


Dear Friends, Family, and Supporters,
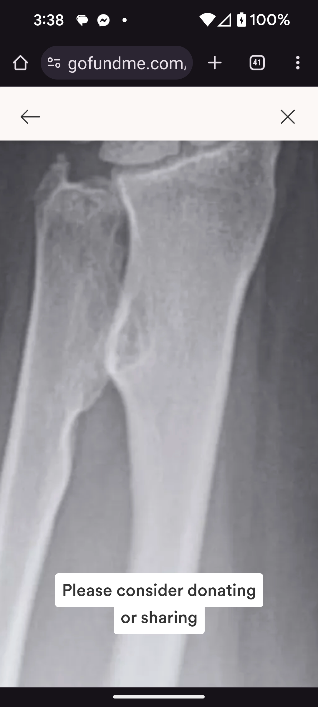
I am reaching out today to share a deeply personal story and ask for your help during an incredibly difficult time. My name is Elisabeth, and I’ve been living with a condition called Hereditary Multiple Exostoses (HME) — a rare genetic disorder that causes the growth of bone tumors on my skeleton. Unfortunately, these tumors can be painful and sometimes lead to deformities or severe complications that greatly affect my ability to work and live a normal life.
For those who may not be familiar with HME, these growths can cause a variety of problems, including severe pain, difficulty with movement, and sometimes even joint dislocation. The condition varies in severity, and in my case, it has significantly limited my ability to hold down a job.
As you can imagine, living with this condition has been a constant physical and emotional challenge. While I’ve always tried to stay positive, the reality is that I’m now at a point where I can no longer work or earn the income I need to support myself. This has led to mounting financial pressures, and currently, I’m struggling to make ends meet — especially when it comes to paying for basic living expenses like rent.
Why I Need Your Help
I’m asking for your support to help me cover my rent and basic living expenses while I focus on my health and treatment. With your generous contributions, I can avoid the risk of losing my home and continue to focus on managing my condition without the added stress of financial hardship.
Here’s a breakdown of how your donations will help:
Rent: $1500 per month
Living Essentials: Food, utilities, and other basic needs
The road ahead may be long, but with your kindness and support, I can keep my life stable while I continue to seek the best treatment options for my condition.
How You Can Help
Donate: Any amount, big or small, will make a significant impact on my ability to cover rent and stay afloat during this challenging time.
Share: Even if you can’t contribute financially, sharing this campaign with your network can help spread the word and bring in much-needed support.
Positive Thoughts: If you're not in a position to contribute financially, well wishes, and positive energy mean the world to me.
I deeply appreciate any support you can provide. This is an incredibly difficult journey, but I know that with a little help from the people around me, I can get through it. Thank you so much for your kindness, love, and generosity.
With gratitude,
Elisabeth




