Help Ducky Heal: Support Her Medical Journey

  • S
  • L
42 donors
0% complete

$2,355 raised of $10K

Help Ducky Heal: Support Her Medical Journey

Donation protected
My name is Taylor Davis and I am the owner and lead trainer at Take the Lead Canine Coaching. I also volunteer my time at the Grass Valley Animal Shelter, and I want to introduce you to a VERY special puppy.

Ducky was rescued from a horrible situation when a heroic neighbor called 911 to report a disturbance. Animal Control Officer Parker arrived to find a terrified and badly injured puppy hiding in the corner.
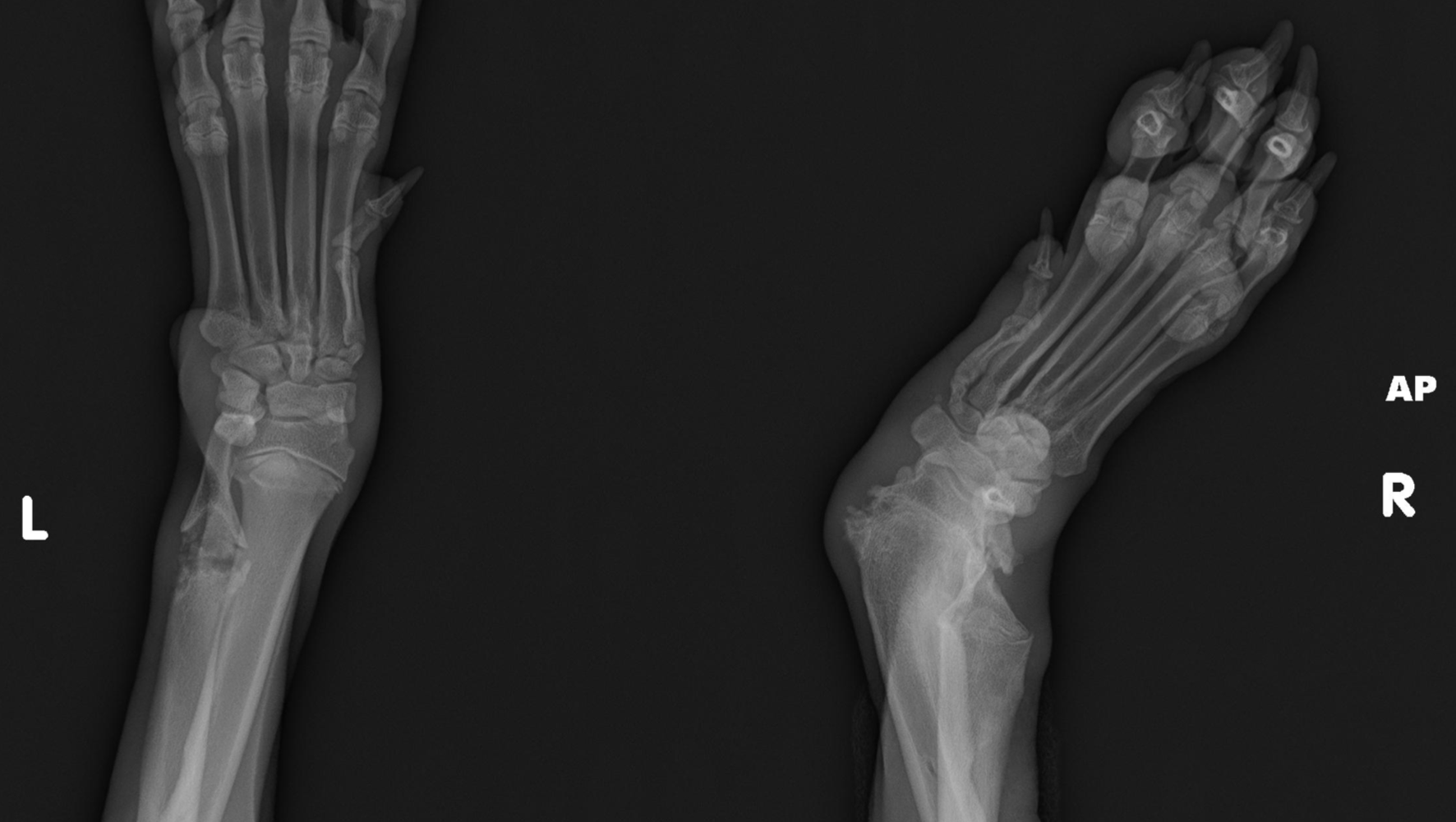
Ducky’s face and head were terribly swollen because of several skull fractures. She could not walk due to a broken hind leg, and badly deformed front limbs (partially a result of nutritional starvation). She had several broken ribs, and fractures throughout her body in different stages of healing (without treatment or medications,) and severe skin infections.


An arrest was made on animal abuse charges, and sweet Ducky was surrendered into the loving care of the Grass Valley Animal Shelter. I don’t usually take in foster dogs, but Ducky is a special exception, and she came home to begin her recovery with me and my dog, Fidget.






Despite her repeated exposure to violence and her brutally broken body, Ducky’s spirit remains miraculously intact! She is happy, loving, and makes me smile every day! She continues to gain confidence and physical strength, and she loves to play and learn! She is SUPER SMART and is exceeding her foster sister Fidget in learning new commands and picking up complicated exercises.




We are committed to finding Ducky the BEST home possible, and we are now accepting applications for her adoption. Ducky is 9 month old, loves children, and plays well (if a bit exuberantly) with other dogs. She is fully potty trained and rings a bell to go outside. She is crate trained and has been to several obedience classes with me. She can still be defensive and scared of some people at first, but she warms up quickly and is learning that she never has to fear people ever again! She loves to be outside and enjoys exploring the world on walks. She also loves to snuggle on the couch, and her floppy jowls are the BEST for snuggles and kisses!




Ducky is on a waitlist to have her hind leg repaired through the amazing FRACTURE program at UC Davis, and we are asking for your generosity to help Ducky receive the very important reconstruction of her front wrists that will allow her to live a long normal life with her forever family!

Please consider donating to Ducky’s medical bills (which total over 10 thousand dollars). We have set up a GoFundMe, and you can also donate in person at the Grass Valley Animal Shelter. Be sure to specify “for Ducky” on your donation.

Contact Taylor: taylor@taketheleadcanine.com

Organizer

Taylor Davis
Organizer
Grass Valley, CA
  • Animals
  • Donation protected

Your easy, powerful, and trusted home for help

  • Easy

    Donate quickly and easily

  • Powerful

    Send help right to the people and causes you care about

  • Trusted

    Your donation is protected by the GoFundMe Giving Guarantee