What's Going On...
Backstory:
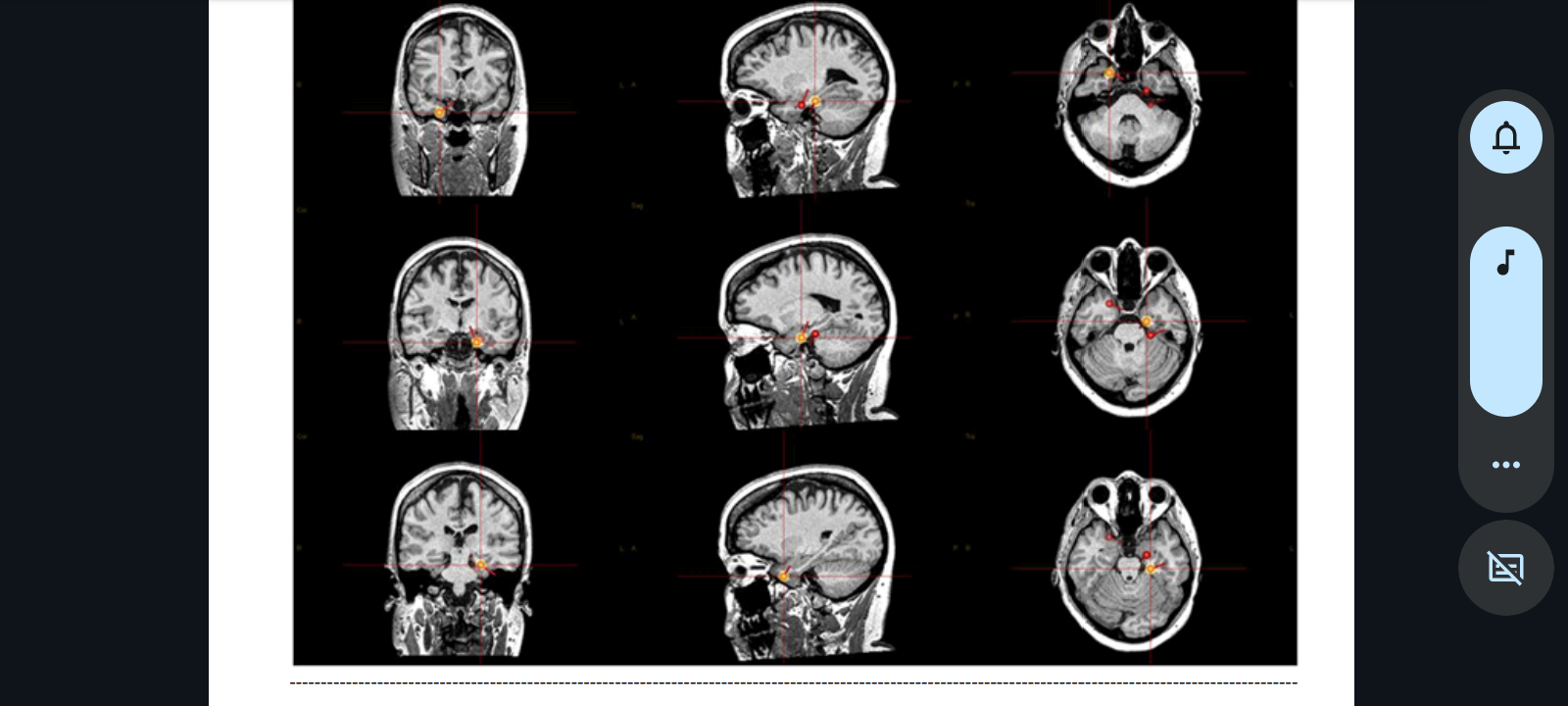
Since about 2020, I started having primarily nocturnal seizures. Now, for the past couple or so years, I've been unable to work due to more common not-whilst-asleep ones. I'd always had tonic-clonic amongst other types before but primarily whilst asleep. Thankfully, I finally got my craniotomy performed last February and it has helped but not fully erased all neurological symptoms I deal with.
Post-surgery a few months later, I had my second weeklong stay in the neurological department with nonstop video and EEG monitoring.
During my stay, I had a few irregular occurrences (followed by usual post-epileptic symptoms including one where I stayed conscious and it lasted an hour long). But the occurrences did not show up on the EEG as they did for the handful of times during my previous/first time staying in the unit – Thanksgiving week, the year before last.
These occurrences were deemed to be non-epileptic symptomatic, which my neurologist would later explain to me is not very uncommon for those like myself (those post-surgery) – yet given the symptoms and how strong of medications I am to remain on – I am not able to work. I deal with extremely strong drowsiness caused by the medications I have to take – causing me to sleep for hours at a time post-medicine-taking on top of condition-caused fiery headaches, constant ear ringing, lightheadedness, brain fog, and more.
Any financial help with day-to-day things like bills/rent, school supplies (books), and getting places would be amazing and I would truly be grateful...
What's Going On Now...
A thing not many people know is that I was to start my MA in European Studies at BGSU* this past Fall which included studying abroad for a year. And for a bit I've been thinking on adding on their only Poli-Sci major, Public Administration as well to earn a Dual Degree – if accepted post-applying...But given my current health battle taking longer than expected, it has been postponed.
(*BGSU is 25-30 minutes out from my hometown of Toledo, Ohio AKA The Glass City, where Jeep originated.)
Now, my neurologist told me that he is hoping to sort out what is causing the symptoms and ideally slowly take me off the overly sedating medication if able to "over the next year."
In past, I had State Disability help when epileptic occurrences were happening more commonly and I had a few ER visits back then – including a night I was to be in a short film that I helped co-produce.
Long story short, I did not expect for things to worsen, so I very belatedly applied for SSDI help, and was denied for SSDI months later. I am now in the process of appeal with a lawyer but am still very much in need of help in the meantime. I have been selling most everything I can for a while now. But I need help so that I can stay in L.A. where I am getting the best healthcare treatment (via UCLA doctors & specialists) – until I am well enough and can finally earn my (hopefully/eventually) dual MA in European Studies & Public Administration and eventually help others as well.
My BGSU Acceptance Letter/E-mail:
The European Studies program (as well as hopefully, Public Admin.) will help me impact change as well as study abroad which is something I have truly dreamt of since I was in the early double digits. Back then I even made a hard copy presentation for the program I was looking at via colored paper, glue, and funnily-designed scissors...
**3/13/26 Update: CalState Long Beach Acceptance...
It's between the sharks and falcons now...
How You Can Help Me Thru This Medical Journey...
If you help me survive this next year of healthcare, this dream will come true – assuming all goes well new diagnosis treatment-wise alongside the SSDI appeal – and then I can start paving my way towards my dream of helping more and more people along my way.
Much love to those of understanding.
And thank you very much for those donating & sharing.
Muchas gracias. Merci beaucoup. Xiexie.
Arigato. Gamsahamnida. Danke sehr.
(Above: ASL sign for "Thank you." I screenshot an older video homework assignment where I signed it at the end. I love learning languages. And no, I've not gotten my nails did/done in a long time, in case you wondered. ;) )
Much Love & Gratitude.
Sincerely,
Deidra Kathleen
Shout-Out to All my Blessings/Donation-Givers:
- Marianne Ricci (Top Donor)
- Tara Strand
- Tamesha Walker
- Y-Limit
- Anonymous Donors x4
- Rafael Montiel
- Victoria Gibson
- Stephanie (Stevie) Blair
- Matt Fishwick (1st Donor)
- Larry & Cindy Shilkoff
- Mark Needle
- Brandon DeLong
- Arielle Solomon
- Maya Lev
- Shana Gagnon AKA Batgirl the Director






