- L
- Z
- M
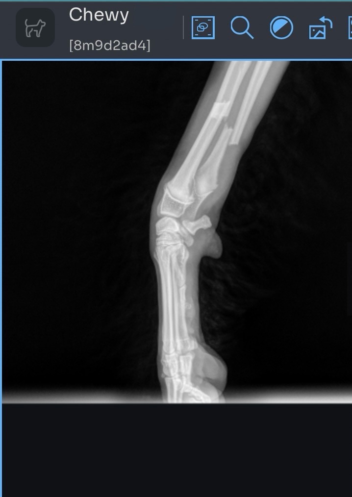
Chewy, my 7 month old puppy, broke two bones in his leg while playing at home over the weekend. After rushing to a late night ER Vet Visit, he is now having emergency surgery on 06/12/25 to have a titanium plate & up to 8 screws put in. His expected recovery is 12 weeks, requiring medicine, rest, and weekly vet visits for a fresh cast/splint.
Chewy, also known as Chewbacca, Chew, Chewster, and my personal favorite - Rooster, is the sweetest little guy (and also, apparently, very fragile). Dillon and I are getting him the best care we can afford, but it does not come without a major, unexpected financial burden. Between the ER Visit & Surgery, the current total cost is sitting at just under $7,000.
Pride is a funny thing when asking for help. I’ve had friends and family suggest I start a fundraiser for assistance with the medical bills. My first thought was “that’s embarrassing.” However, what those same people reminded me of, is that it’s okay to ask for help when you need it most. At the same time, I know things are tight for a lot of us. Basic necessities like groceries seem impossible to afford.
I say this to point out that I completely understand not everyone can donate. Even if all this post brings me is supportive texts, encouraging words, and prayers for healing, that’ll be a success in itself.
If you got this far, thanks for reading. Xoxo.




