



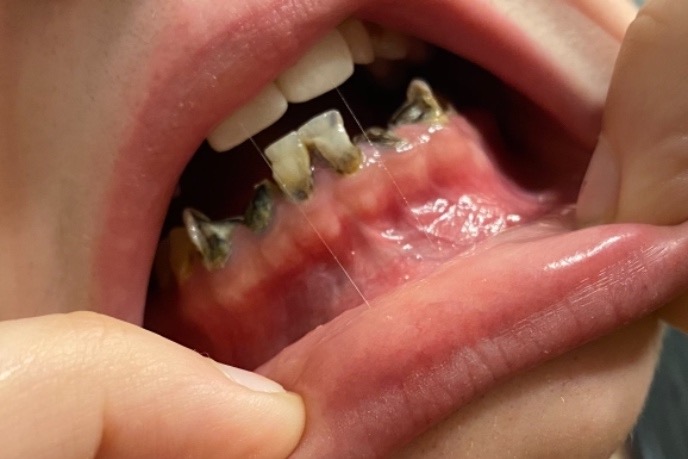
Hi, I’m Caymi, I’m 21 years old and I’m and addict. When I was 15, I was in a car accident, the person driving was intoxicated and they t-boned my side at such a speed I had my leg hit so hard I needed reconstructive leg surgery. That day I was prescribed a narcotic pain killer and that was the beginning of what will inevitably be a life long battle. I suffered in silence so severely for years with addiction I started taking pills wherever I could find them. When I was 18 years old I hit one of my rock bottoms, I sent myself to rehab and the beginning of changing my life started. It was still a daily struggle, some days were better than others but as an addict every day is a fight. I relapsed around a year ago and that progressed the decay of my teeth. I now need ALL of my teeth extracted, top and bottom, and replaced with dental implants. My surgery is a little complex because I have a lot of underlying infection surrounding my lower gums, this infection has been lying dormant in my system for so long that it’s starting to effect my stomach as well as other organs, which has made it extremely hard trying to find a dentist willing to help. It’s just totally shattered my confidence and spirit to have dentists complain about how much work it will be, I know it’s a lot of work and I wish I could change this. I’ve finally found the perfect dental team who wants to work with me, I need $20,000 before I can proceed with the surgery, but I need the full amount around 4-6 months later for my permanent set of teeth. I’m not one to ask anybody for help, I don’t like asking for help but at this point I’m not sure what my other options are, I don’t know how much longer I can take of this physically & mentally. If you can even just share a little bit, it adds up & I will be eternally grateful. Thank you for taking the time to read my story