- C
- S
- R
Hi, I am Krissy, Brandi's sister, I am trying to help her raise funds so she can get the surgery to fix her ankle and allow her to walk and not be in pain anymore.
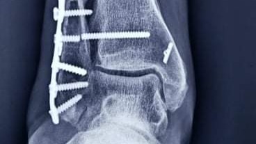
Brandi broke her leg in 3 spots (trimalleolar fracture) in Oct 2020 outside of the states and the dr opted to not do surgery.. after 12 weeks in a cast, she was released with no further care.. she sought the guidance of 2 different physical therapists. It was the 2nd PT who told her to seek a 2nd opinion with another ortho. The Dr. said it was too late to do the surgery she needed since her bones were starting to fuse. She started looking for someone in States. She found a surgeon that would see her via zoom and he agreed she needed to fix her ankle asap.. After making everything happening to get the first surgery (she got a loan because insurance would only cover 40%) they did a total ankle reconstruction and found she had a dislocated ankle bone as well. She healed great and started walking mid August. In the end of Sept, the screw going through both bones broke which is causing her a lot of pain. She saw her surgeon in end if January who told her she has scarring behind the plate and arthritis in her ankle.. He needs to remove her hardware and scrape out her ankle if he can. It is her only hope at less pain.
A lot of you have seen Brandi struggle the last year and know that the old Brandi was always happy and would help you out in a heartbeat in whatever way she could. We all can see how hard this has been for her, especially being away from her close friends and family.
Her surgery is scheduled for 3/24, and anything we can do to help her get closer to surgery helps. Please share if you are unable to donate.
Let's get Brandi out of pain and her ankle better!
Thank you all in advance!
Organiser and beneficiary
Brandi Singh
Beneficiary

