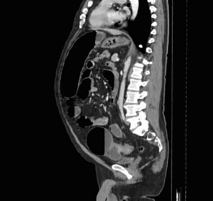
Hello, once again I’m making another Gofundme for my dad. As some of you may know he was deported back in December, he has been extremely ill before and even worse after the lack of treatment and medical necessities, he has recently gotten a CT scan that shows an obstruction in a segment of the colon called the sigmoid colon and needs a sigmoidectomy. He was advised by the providers in Mexico to have an emergency surgery done this is life or death. We are sadden by the news we were not hoping for this, they are asking for 15,000 in order to get the surgery done. We are completely helpless due to the fact of distance and we are unable to help my dad. Anything helps, please share
Hola, una vez más estoy creando otra campaña de Gofundme para mi papá. Como algunos saben, fue deportado en diciembre. Ha estado muy enfermo antes y aún peor después de la falta de tratamiento y atención médica. Recientemente le realizaron una tomografía computarizada que muestra una obstrucción en un segmento del colon llamado colon sigmoide. Los médicos en México le recomendaron una cirugía de emergencia; es cuestión de vida o muerte. Nos entristece la noticia; no esperábamos esto; piden 15,000 para la cirugía. Estamos completamente indefensos debido a la distancia y no podemos ayudar a mi papá. Cualquier ayuda nos ayuda, por favor, compártala.






