- B
- D
- D
Hello, I've never made one of these :(
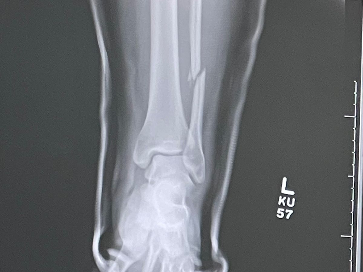
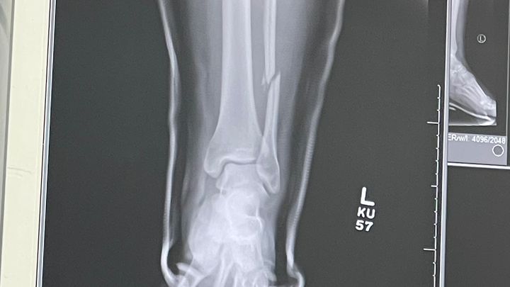
My name is Adriana. I had a terrible fall last Friday at CB Smith Park and ended up breaking my fibula and dislocating my tibia bone. At the ER, they were able to pop the tibia back into place, but I'm still left with my broken fibula. My United Health Group insurance from my job does not want to cover this surgery; they claim I have 0 surgical benefits. So, I'm left facing this huge bill for my surgery scheduled for Monday, Dec 9th. I know Christmas is around the corner, and this is my only Christmas wish. God bless you all, and thank you for reading this!

