- V
- M



Martha Tuftee was in a horrific accident on Wednesday, March 10th at around 5am on CA Hwy 1 on her way to work. To date, the CHP report is still pending determining what actually transpired that morning. We do know that Martha is lucky to be alive. This is an overwhelming endeavor for the family, especially considering the unexpected loss of Martha’s husband, and father of their children, Kevin Tuftee, February 14, 2019.
The family is requesting donations to assist with medical bills/copays, medical equipment needed once she is home, care of her 4 King Charles Cavalier Spaniels, possible modifications to her home to accommodate her needs (accessories to the bathroom, ramps around the house etc.), supplement any lost wages from this horrible accident as well as being able to prepare for any miscellaneous financial needs not known at this time.
Donations can be made via Martha’s private Venmo, created by her family just for this situation. Inquiries can be made to either one of her three children, Mariah (Erik) Voss, Tiffany (Amber) Tuftee-Garcia or Clifford (Yavanna) Tuftee.
VENMO ID: @Martha-Tuftee-1, last four of phone number are 6667 or
Go Fund Me account
What Happened?
From what Martha recalls, there was excessive rain that somehow led to the Toyota Tacoma rolling an unknown number of times. Once emergency response was notified, it took 30-40 minutes to extricate her from the wreckage. They could not airlift her due to the weather, so an ambulance to Marian Regional Medical Center was in her best interest. Upon arrival, she was deemed a Trauma patient to which many life saving measures were performed.
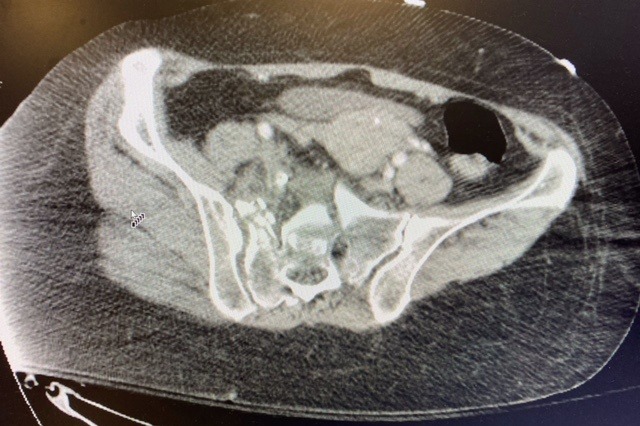
Her injuries are as follows: 1) Broken shoulder blade (Left Side), 2) Ribs 5-11 broken (Left Side), 3)Pneumothorax -needing chest tube (Left Side), 4) Shattered pelvis (see photo), 5) Broken fibula and ankle (Left Side), 6) Fractures to her vertebrae C2, T3, L1 and L5 and concussion.
She was in severely critical condition, but thankfully the medical staff at Marian Medical Center stabilized her enough to be transferred to the nearest Trauma center that could accommodate her injuries. Thankfully, that Trauma center was Santa Barbara Cottage Hospital.
Due to the extent of her injuries, Martha will have a long road ahead. Martha was scheduled for surgery at 9:30am on Monday, March 15th and we got notification she was out of surgery at 1:30pm. Pending the outcome of that, she will need to be transferred to a Rehabilitation facility to undergo rigorous Physical Therapy. Once home, she will need assistance on her road to recovery.


Organizer and beneficiary
Martha Tuftee
Beneficiary

