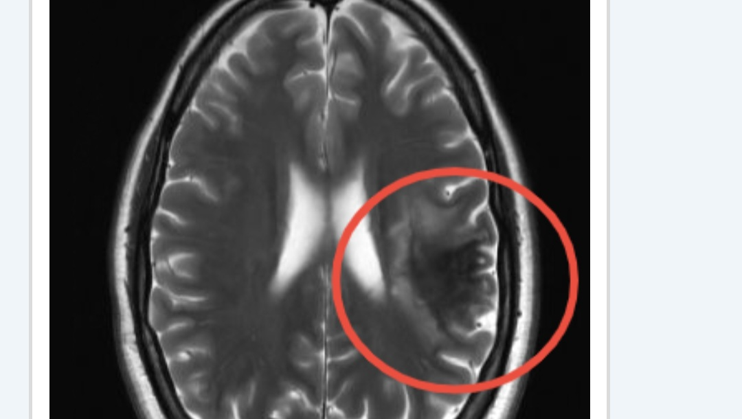
Hey guys, as most of yall know, I had a stroke in September, four months after daddy Phil passed away. I got my check up and my neurologist says I about 6 more months for my brain to heal...my right side isn't working like it should, my speech is still bad and I have a hard time still understanding tasks, im definitely getting better but it's a slow process. Me and Biscuit have been doing our best to take care of ourself, but once again we are asking for a little help until I get well again to go back to work...the universe is definitely putting me to the test, but I will not give up and throw in the towel! Thank yall and we love yall to the moon..and thank you for rooting for us with everything we've gone through!





