Hi, my name is Pam. My sister and I just recently adopted a rescue dog. Her name is Willow. She is a petite 13 pounds, somewhere between 1 - 2 years old. We have had two dogs in our lives, and they both reached the ages of 15 and 16 before they crossed the rainbow bridge. It took a year before we were ready to let another dog into our hearts, and we knew when that time came, that we would want to rescue a dog.
Then we found Willow on a rescue site (the rescue gave her a different name). Apparently, she had been a stray on the streets before someone picked her up and brought her to the rescue. She had only been at the rescue for a couple of weeks. When we saw her picture, we fell in love. And when I went to meet her, I fell more in love and brought her home. She is, perhaps, the sweetest dog.
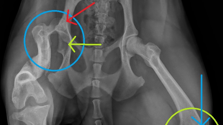
After the first day at our home, I noticed that she had a little bit of a limp and would sometimes lift one of her hind legs. We took her to the animal hospital that the rescue is connected with, and they took x-rays. The x-ray showed that she had a previous injury in her left hind leg, and it was a broken femur... a compound break. Also, the ball and socket showed trauma too. The femur showed signs of some healing, although the bones were not aligned. The theory is that she may have been hit by a car at one point. As a stray, she was living on the streets and somehow survived even with a broken leg.
This was a lot to take in, but it did not change how we felt about adopting this little girl. She has such a sweet disposition and in the last three weeks, has been settling into her new home and enjoying her backyard. She skips around the backyard, chasing butterflies and squirrels... oftentimes running like a tripod dog.
This past week, I took her into our vet’s office and had her looked over. When they took a closer look at the x-rays, it was clear that something should be done with her leg. Although she skips around now, as though she doesn’t have a care in the world, she is doing so with some pain.
We want what is best for Willow and what will give her the best quality of life. She definitely deserves a second chance. Because this is a pre-existing condition/injury, it will not be covered under any pet insurance. An orthopedic surgeon has been contacted by our vet’s office, and one of two possibilities would take place: see if her leg can be repaired and do an FHO procedure or, if the damage is too bad, amputate her leg. Either way, she is clearly a fighter, and I don’t think being a tripod dog would alter her sweet disposition. But, either procedure may cost between $3,500 to possibly $5,000, which is something my sister and I, newly retired seniors, were not prepared for. We will get this done for Willow because she deserves the best life. And we will dig into our retirement accounts to do it, but if anyone can help us just a little bit, it would be so greatly appreciated.
Her surgery is scheduled for April 17th. Prayers for Willow and her ortho surgeon... guide him for the best possible outcome for Willow.
I have posted pictures of this sweet girl & her X-rays.
Willow coming home!
Willow’s paradise
Willow’s broken femur
Ball & socket of same leg




