Help George (Ujo) Recover from a Sudden Brain Hemorrhage

George’s recovery relies on gifts covering emergency surgeries, rehab, and daily needs

  • J
1290 donors
0% complete

$71,840 raised of $150K

Help George (Ujo) Recover from a Sudden Brain Hemorrhage

Donation protected
At 1:15 PM on March 26, my brother George (Ujo) texted his friend that his job interview went great. By 1:22 PM, he was unresponsive. By 2:00 PM, paramedics were telling me he might not survive the drive to the hospital. Code Blue.

My name is Gerald. I'm George's younger brother. This is what happened.

George (Ujo), 27 years old, had just wrapped a job interview he was excited about. He FaceTimed a friend to celebrate. Mid-call, he grabbed the left side of his head, experiencing thunderclap headaches, looked at his friend, and said: "Is this an aneurysm?" He tried to google his symptoms on the call.



Then he went pale, started sweating, and stopped responding. His friend called someone nearby to rush to George's apartment. That friend arrived within five minutes and found George barely conscious — eyes rolled back, drenched in cold sweat. He called 911. Then he called me.

I got there three minutes after the paramedics. I watched four of them carry my brother to the ambulance. He couldn't walk. He couldn't talk.




A paramedic called me on the way to the hospital and said something I will never forget:

"This is very serious. Head to the ER now. He doesn't look like he's going to make it."

The ER

At the ER, I was asked to give consent to operate on my brother's brain. Consent to put him under anesthesia. Consent to open his skull. Consent to do whatever it takes to keep him alive.




They called my dad. They told him the same thing — George most likely wouldn't make it, and he should get to the hospital before it's too late.

My dad called me back. I have never heard my dad cry. Not once in my entire life. He asked if I could fly our mom from Las Vegas to Los Angeles so she could spend George's final moments with him.

Six Hours in the Waiting Room

George went into emergency surgery at 4:30 PM. It lasted over six hours.

For six hours, our family stared at a waiting room screen showing patient names and their status. I watched George's name sit under "OR / Procedure" while other patients moved to post-op recovery, one after another.



By the sixth hour, his name vanished from the screen. It didn't move to recovery. It just disappeared.

We didn't know if he was alive.

Five minutes later, a supervisor told us George was out of surgery and had been moved to the Neuro-ICU.
That was the first time I exhaled in six hours.

What Happened to George



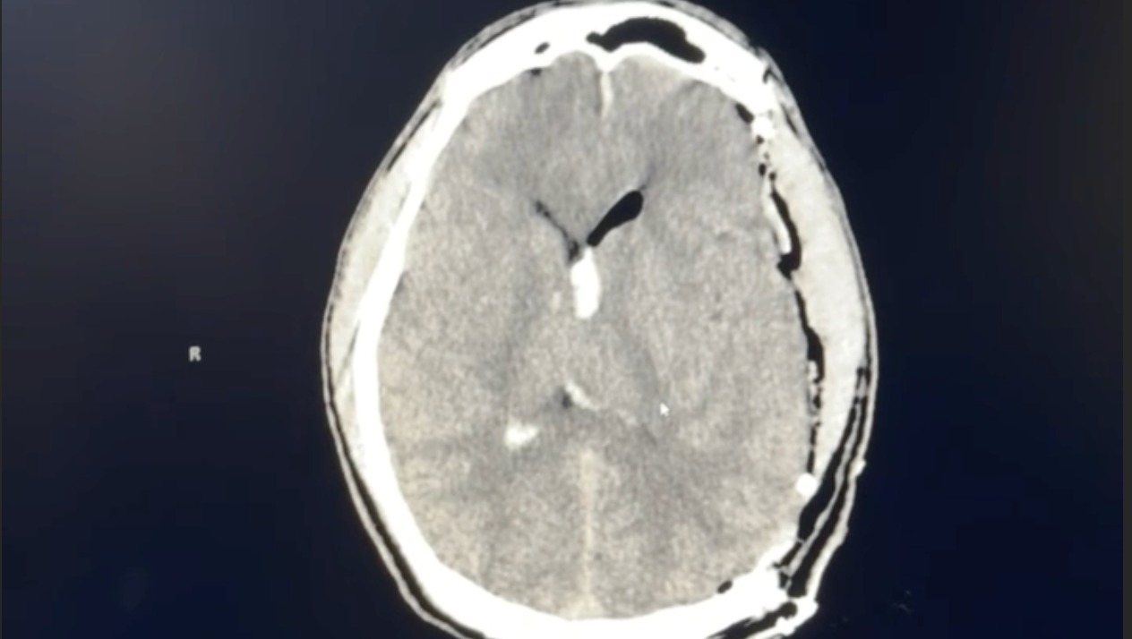
George suffered a ruptured brain AVM — an arteriovenous malformation. It's an abnormal tangle of blood vessels in the brain that he was born with. It had been there, silently, for 27 years without anyone’s knowledge. No symptoms. No warning signs. On March 26, it ruptured without any reason causing a hemorrhagic stroke, flooding the left side of his brain with blood.

The left side of the brain controls language, memory, and motor function.

During the emergency surgery, surgeons removed a section of George's skull to give his swelling brain room to survive. They evacuated as much of the hemorrhage as possible and placed a drain to relieve the dangerous pressure. The surgery lasted over 6 hours and saved his life.

But the AVM itself — the root cause — was intentionally left untreated. Removing it during the emergency would have risked further brain damage. That requires its own surgery, and George's brain has to heal first.

Where George Is Now




George is now in stable condition. Follow-up scans show significant improvement and his doctors are cautiously optimistic.

But he is facing:

2 more surgeries — to remove the AVM entirely and reconstruct his skull with a custom prosthetic plate

Intensive rehabilitation — speech therapy, physical therapy, occupational therapy — to regain motor function, verbal ability, and memory that the hemorrhage took from him

24/7 attentive care — his doctors have warned that another stroke is likely, requiring constant monitoring

At least 6 months before he can work again

Why We Need Help

George was on involuntary unpaid leave from his job when this happened. That's why he was interviewing. He has zero income.

George didn't cause this. He was born with it. He lived 27 healthy years — no medications, no medical history — until it ruptured on what was supposed to be a good day.

How You Can Help

How Donations Will Be Used:

Hospital and ICU costs
2 upcoming surgeries
Intensive rehabilitation
Speech, physical, and occupational therapy
6 months of living expenses
24/7 attentive care

Other ways to support George:

Share this page with your network
Meal delivery or gift cards for the family
Messages of encouragement — we read every single one to him

If you can't donate, please share this page.

Every share puts George's story in front of someone who might be able to help. That matters more than you know.

George's doctors say that at 27, healthy and strong, he has one of the best possible recovery profiles. Young brains can heal and rewire in extraordinary ways. There is real hope.
But 6 months of surgeries, therapy, and bills with zero income is more than our family can carry alone.

My parents and I will be managing these funds to pay for his medical bills, rehabilitation, and living expenses.

Thank you for reading about my brother.

Gerald Welly

Co-organizers4

Gerald Welly
Organizer
Los Angeles, CA
George Welly
Beneficiary
Amanda Welly
Co-organizer
Wendy Ly
Co-organizer
  • Medical
  • Donation protected

Your easy, powerful, and trusted home for help

  • Easy

    Donate quickly and easily

  • Powerful

    Send help right to the people and causes you care about

  • Trusted

    Your donation is protected by the GoFundMe Giving Guarantee