
Funds for medical battles
My name is Garth, and I'm here trying to raise some money to help cover some medical expenses which are mounting rather quickly of late.
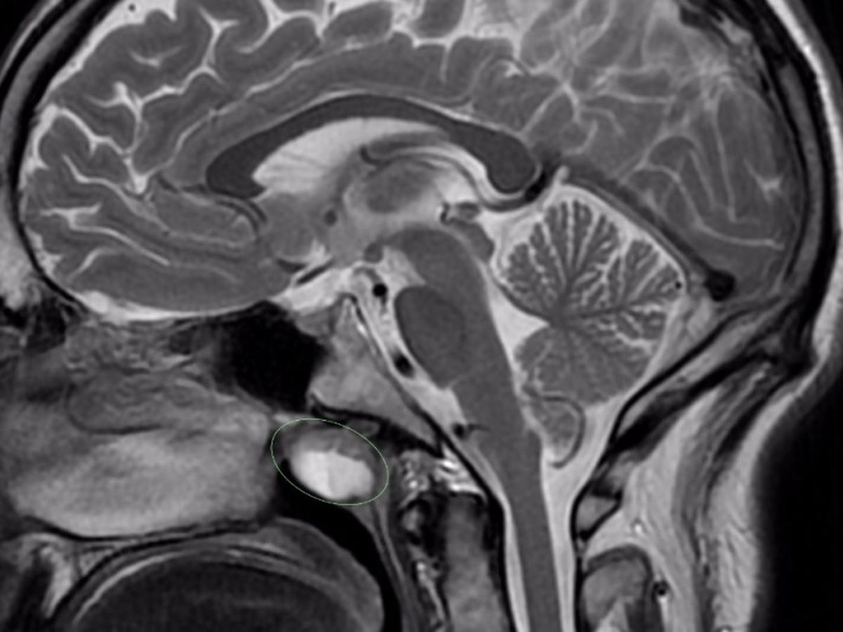
In Oct last year, I began getting sick, and after having an MRI on my head, the doctors found I have an "unusually large" (approximately 2cm) infected Thornwaldt cyst in my head, which is sandwiched between my nose and my brain (you can see it in the picture - the bright white blob) and it's causing me all kinds of havok at the moment, with symptoms like involuntary leg movements, feeling like my blood is boiling, extreme lethargy and dizziness, passing out, and even narcolepsy.
Due to these symptoms, I've not been able to work very much lately, so my income has dwindled, while my credit card is taking massive hits from specialist appointments and medical tests. (So far in January alone, these mount to over $1000, and there have been plenty more expenses in the last few months of last year)
I'm on a waiting list to have surgery to remove the cyst, and their estimate on when that may be, is around March this year, which means I'm likely to be experiencing these symptoms until at least then. Which means that my ability to work will be impeded until such time as they do remove it from my head.
I've also got a cyst on one of my kidneys, and the doctors have discovered blood in my urine, which indicates there is a growth in my bladder. I'm awaiting contact from the urologist I've been seeing to advise when they will find out exactly what it is by using and endoscope at some point. 
I've just recently had a colonoscopy as well since they also found blood in my stool samples, and while there were no visibly obvious signs of cancer, they took some biopsy's during the procedure to analyse something which I can only assume doesn't belong there. Again, I'm awaiting contact from the specialist once they have the results, to advise exactly what it is, and whether it too may be causing problems.
Essentially, every cent raised here, will go towards paying off said medical expenses that I've already paid out on my credit card, and if I'm lucky, perhaps help to feed me and keep a roof over my head during the coming months, along with future medical expenses. (I have 2 more specialist appointments coming up in the next week alone, which will add another $500 to the list :(
My credit card is only a few hundred $'s away from being maxed out, and I have less than $100 in my bank, so any quick help would be greatly appreciated. 
I have only set a goal of $2000, because even though my expenses amount to more than this, I feel I may be able to cope if I can at least get some of them paid off my credit card. Having said that, there are plenty more appointments upcoming, so anything over and above that goal would be fantastic, as until at least March, my ability to work for my income will be minimal at best.
Thankfully, due to my workplace being so good, and having plenty of proof for them that this is an ongoing situation, we have an agreement in place so that my time off to attend appointments and have surgery will not cause me to lose my job, but every day I am unable to make it to work, I do not get paid.
I don't know what I can really offer in the way of rewards and such unfortunately (mostly due to not having much in the way of funds at present) but I am hoping to release some music soon, and also have a range of digital art skills, and wide range of technical knowledge, so I'm happy to work something out with you should you really wish for something. 
One thing you will have for sure, is my eternal gratitude, and I will not hesitate to spread word of your kindness where ever possible.