
*This photo is the cost just to see the cat. The larger photo is the estimated costs, without taxes, work hours, the hours he has already been there which were $1,600 a night, and medication*


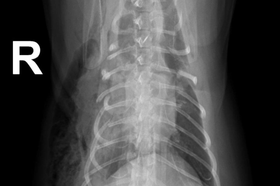
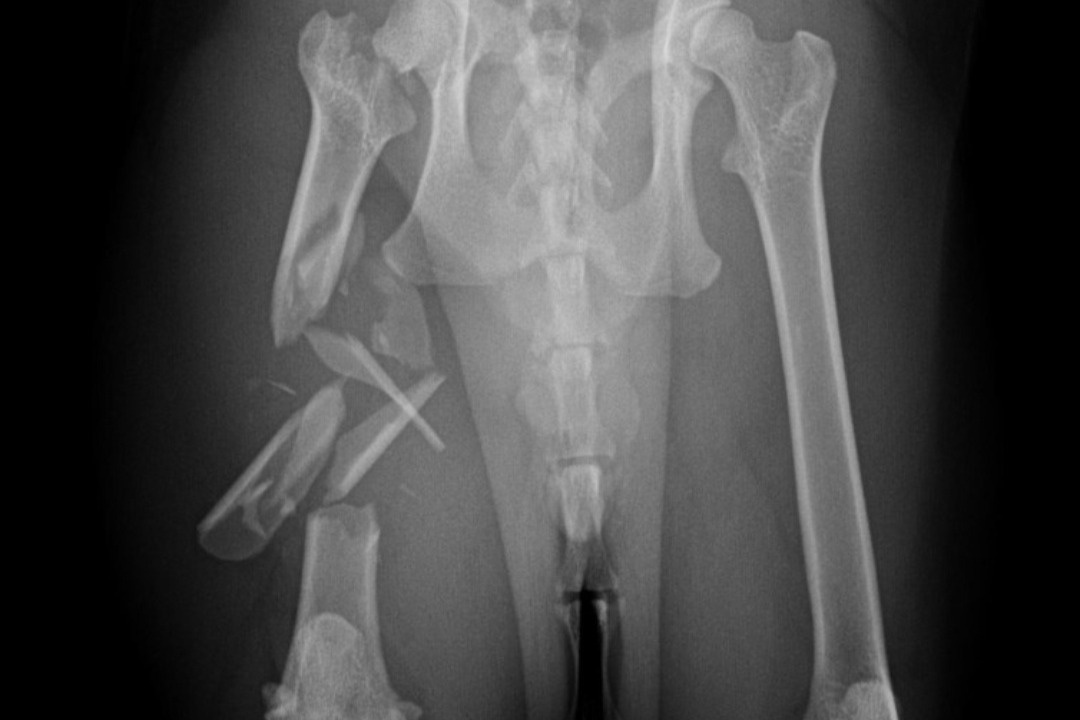
*Romeo's X-Rays*Our 4 year old cat Romeo has been SEVERELY injured and the vet stated that she believes he was crushed. When we came home after bringing him to the hospital, we realized that our boxspring was broken, so we believe that it fell onto him and crushed him. He has broken ribs, a shattered femur, etc. He will need to have his leg amputated, which in itself is $7000 and would be $17,000 if we decided to keep the leg and have them try to fix it and we genuinely cannot afford it.. And those prices are for his leg alone, it doesn't include the cost for his ribs or medications, or the $2000 a night to stay at the hospital. Please help us save our boy.. We cannot live in a world without him.. He's the most special cat in the entire world and our hearts are breaking. If we cannot afford the surgeries, then we will have to put him down. Please help in any way you can..
Organiser
Cassidy Noftall
Organiser
St. John's, NL

