- K
- E
- C
"Hello! My name is Amber, and I've created this fundraiser on behalf of my dear friend Lexi. Many know her by DJ Xonora (https://www.facebook.com/XonoraDJ) -- for well over 10 years she's lived abroad in Japan, Malaysia, and currently lives in Thailand, working for a school and is also the proud mom of an adorable Tonkinese kitty!
(Partners in crime)
Anyone who knows Xonora knows that when it comes to her needs, she tries to be very humble about herself. But at this time, we are desperately seeking funds to help her receive emergency care for a condition that's significantly affecting her quality of life and ability to work.
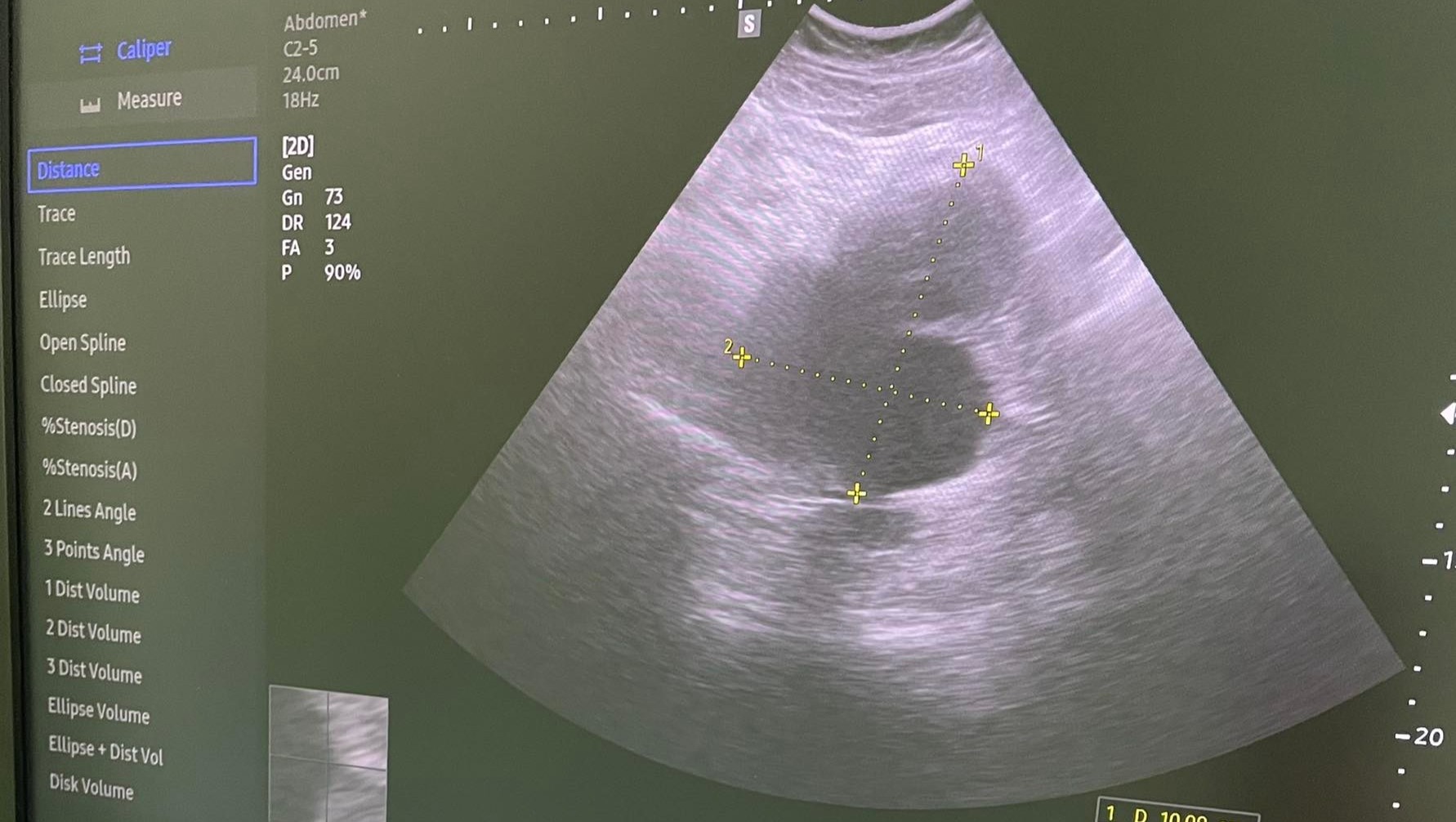
After many months of increasing pain, it's been discovered that there is a large chocolate cyst, and multiple tumors within the reproductive organs. While likely not cancerous, they nearly doubled in size in little over a month-- causing unimaginable pain daily. The pain disrupts her ability to work without interruption at work, be physically active on free days, and even eat and sleep.
(Photo above is the latest sonogram of the chocolate cyst-- the alien-looking thing was once one round boi, but within a month, has become like a... conjoined twin-like cyst. It was originally the size of a small orange and is now about the size of a big mango. It continues to grow at a fast rate.)
Her doctors said that these need to be removed soon, along with removing the entire left ovary. A surgery procedure was scheduled for the end of September but may have to be pushed sooner, and the expenses will be tough to gather on one's own in such a short amount of time.
In short, I am raising funds on her behalf to cover her medical needs. The money raised from this campaign will be for Lex's medical expenses, including surgery and aftercare, and to help with living expenses during the recovery period, along with whatever costs for transferring costs.
Please help me achieve this goal of taking care of my dear friend!
EDIT: Please see our Updates tab for ALL medical & donation updates!
--------------------------------------
Message to Japanese friends, from Xonora:
6月から体内の謎の痛みが始まって、今までの人生に一番辛い痛みです。怖くて早く病院に行きました。超音波など色々検査を受けて、大きいチョコレート嚢胞と子宮の腫瘍が発見された。手術が必要です。一応、9月終わりに手術の予約入れましたが、この間痛みが続きながら仕事行かなきゃいけません。2週間前ぐらい、痛みが突然さらに強くなって、薬飲んでも落ち着かなくて、本当に怖い状態になったので職場のHRさんが救急車を呼んで病院のERに運ばれました。病院でまた超音波検査を受けたら凄くショックでした: 1ヶ月半ぐらいでチョコレート嚢胞が75%ぐらい大きくなりました。手術で外すまで、毎日大変な痛みが来る可能性が高くて、ドンドン悪くなると言われました。
付けた超音波検査の写真は赤ちゃんではなく、左側の卵巣に付いているチョコレート嚢胞です
早く元気に戻りたいです。
でも、一つの問題がありました。職場がちゃんと国民健康保険を登録していません。1人で登録して全額自腹にしようとしてもNGと言われました。国民健康保険の問題は多分仕事を変えるまで直さない見たいです。それで、今までの病院代通り、手術も全額自腹になります。値段が思ってたより高いし、タイでの給料がマジで少なくてどうしようってずっと悩んでました。
アメリカに住んでいる友達が病院代を集まるためにクラウドファンディングGo Fund Meの募金ページを作ってくれました。

